!-->

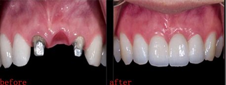
缺牙后为什么一定要镶牙?表示,牙齿缺失后就会留下一个空隙,邻近的牙齿因失去均衡,而向缺牙空位移动或倾斜影响人的咀嚼功能,影响美观及发育,严重时会造成牙周组织病变及颞下颌关节疾病。因此,及时修复缺牙是一般必要的,不然会给您产生不良后果了。下面广州越秀圣贝口腔门诊部就来为大家详细介绍。

缺牙后为什么一定要镶牙?牙齿缺失不镶牙的危害有哪些?
1、邻牙松动:邻牙因无依靠,会向缺牙间隙倾斜,时间长了会造成周围邻牙的松动,使全口牙齿的正常功能遭受破坏。广州镶一颗牙的价格
2、食物嵌塞:正常牙齿与牙齿之间,排列得十紧密,邻近的牙齿移动,牙齿与牙齿会出现缝隙,容易使食物嵌塞到牙齿间隙里,引起口臭、龋齿、牙周病等。
3、对侧牙的伸长:缺牙间隙不能及时修复,对侧牙因无咬牙合会伸长,例如下牙缺了一个牙,长期得不到修复,上面相对应的那棵牙则会有伸长现象。严重的能占据整个缺个间隙,造成无法修复,形成咬合紊乱。
4、龋齿(蛀牙):食物嵌塞到牙齿间隙里不易清洁,易龋齿。
5、牙周病:食物嵌塞,损伤性咬合,牙位伸长或咀嚼功能不足时,可使牙龈萎缩、牙根暴露、牙槽骨吸收、牙齿移动,导致牙周病的发生。
6、咬合创伤:牙齿因缺失而发生邻牙倾斜后,要改变上下牙正常的咬合关系,一部分牙面降低,不能和对侧牙咬合。
正规牙科医院>>>圣贝牙科
广州越秀圣贝口腔门诊部连锁牙科连锁!广州越秀圣贝口腔门诊部连锁牙科是一家以口腔的内外修复、正畸、牙美容、牙种植等业务为主的牙科连锁医疗机构,始于圣手仁心,其主品牌圣贝牙科经法兰西萌牙、普鲁士生根、化浪潮,成为的知名牙科连锁。领先的医疗、专业的医疗团队、先进的服务理念,致力于为特需患者提供满意的特需服务,并以建立科技先进、权威、服务人性化的连锁牙科连锁机构为目标,为社会做出贡献,得到广大消费者的一致好评。
广州越秀圣贝口腔门诊部连锁机构是一家连锁口腔专业机构。圣贝牙科不断引进连锁潮流领先的和设备,构建单病种特色,凝聚国内外牙科,用科技造福患者,以特色服务大众。
广州越秀圣贝口腔门诊部连锁牙科医院顾客价值观:一切以顾客为中心,尊重、理解、关怀、服务;专业、、便捷、权威;尊贵、体面友情、爱心、开心、温馨、确切、服务优良、信誉卓着为服务的目标。