!-->

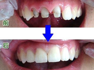
美容冠是目前连锁上流行的牙齿修复美容方法之一,受到许多人的追捧。但是你知道吗?其实美容冠也有不少缺点。那么美容冠究竟有哪些缺点呢?

1、美容冠有它的寿命期限,临床观察平均是8年。
2、做美容冠一般需要磨除一部分牙体,是一种带有损伤性的治疗并且不可逆。
3、一些美容冠会使部分人出现“金属过敏”现象,使牙龈由正常粉红色变为灰白色,俗称“金属灰线”。
4、做美容冠会损害坏牙两边的好牙,降低好牙的寿命。
这些伤害其实大都是不够,操作不当造成的。因此提示,做美容冠一定要选择正规专业的医院,杜绝这些缺点。
广州越秀圣贝口腔门诊部口腔
广州越秀圣贝口腔门诊部口腔是一家连锁医院,已有近百年历史,积累了大量的行医经验与人才。同时圣贝牙科引进——5D亲贝微贴面,根据每位患者的自身条件和需求进行选择,量身定制独有的个性化牙齿诊疗计划,让修复后的牙齿与整个脸型自然协调,和谐统一。5D美容冠的价格
亲贝微贴面优点:
1、牙冠100%仿生真齿材料,与真牙无异,无任何口腔损害。不会出现过敏现象,更不会有金属灰线。
2、微贴面厚度仅为0.3mm,做到不磨牙或是极少磨牙。与真牙高度融合,终生不会脱落。
3、Cerec 5D全瓷修复体与天然牙齿的形态和颜色一般匹配,全瓷材料的通透性可与天然牙齿媲美,确保牙龈组织健康自然,不会暴露牙冠边缘。
4、美容时间短。传统美容方式美容时间长,需要近7天。Cerec 5D计使用算机支持设计制作,一次性完成全瓷修复体、全冠和贴面制作过程,45分钟立等可戴。
据广州越秀圣贝口腔门诊部口腔牙齿美容医师称,Cerec 5D是引领齿科百年的巨人SIrona公司新研制的新一代齿科修复、制作、美容系统,被誉为齿科中的“高铁”。同时使用进口的高强度材料,使用得当寿命可高于10年以上。
广州越秀圣贝口腔门诊部口腔拥有的、温馨的环境、合理的价格,满意的口碑、成功的治疗案例是你治疗口腔疾病的首要选择,同时医院致力打造“您专属的私人牙医”,这种企划理念彰显了医院专业、权威、、奢华的定位和品质,也可体现医院的综合实力,是您较佳的选择。