!-->

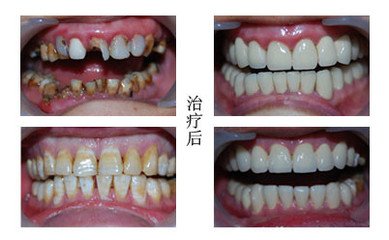
广州拔牙再补牙要多少钱?拔牙镶牙是临床上常见的项目了,很多人都对价格问题很关注,一般来说拔牙再补牙的具体价格根据选用的镶牙方式等有关。下面广州越秀圣贝口腔门诊部口腔就来为大家详细介绍。

拔牙再补牙大概需要多少钱?
首先,拔牙前,必须要检查你的口腔,看你牙齿、牙根的生长情况,需要拍片。如果你口腔里还有其他牙病,需要先控制炎症才能拔牙。因此,具体拔牙多少钱,要看你的情况了。每个地方的生活消费水平都所有所不同,当然拔牙的价钱也会不同。补牙需要多长时间?
其次,不管是直接镶牙还是做的根管治疗后的镶牙,都有许多材料供患者选择。镶牙的材料分为好多种,价位也各有不同。儿童的镶牙材料多为玻璃离子,是调拌型的材料,价格相对于成人镶牙要低廉。成人的镶牙材料多为树脂材料,价格比较贵,分为国产和进口的材料,又根据其特性分为许多种,所以价格也不同。可以根据自身的牙齿情况和经济能力来选择适合自己的镶牙材料。
后,如果你发现自己有了牙洞,一定要尽早治疗,否则牙洞发展的越来越大,拔牙镶牙收费也越来越贵。如果牙齿坏到了一定程度,就不是单纯的镶牙就可以了,需要根管治疗,其价格也不会很贵,根据牙位不同和地区差异。
温馨提示:前牙一般只有一个牙根,操作起来也比较简单,收费比较低,后牙牙根比较多,有的时候能达到三到四个牙根,而且操作起来也比较困难,所以收费就比较高了。
广州越秀圣贝口腔门诊部口腔
广州越秀圣贝口腔门诊部口腔是一家连锁医院,拥有一个强大的口腔团队,汇聚了欧美、亚洲等连锁着名的牙科。同时广州越秀圣贝口腔门诊部口腔全面践行连锁医疗无菌操作理念,在行业内率先实现“一人一诊室一治疗室一医一助一机一用一消毒”8个一无菌诊疗模式,有效地杜绝了各种传染性疾病的交叉感染。在同行率先将灭菌消毒提升至16层,杜绝了因机器污染引发的感染,让您安心看牙。
广州越秀圣贝口腔门诊部口腔严格按卫生部及物价部门标准统一收费,公开透明的收费制度,让患者明明白白看病。另外,广州越秀圣贝口腔门诊部口腔还加强医德教育,开展“阳光从医”活动,所有的医务人员都应拒收红包、不接受病人吃请,只需部分检查的决不做全面检查、普通能的 绝不用昂贵,大限度地减轻病人的经济负担,是您较佳的选择。