!-->

随着生活水平的提高,人们也更加注重口腔健康问题。对于儿童更应该注意牙齿的健康,在国外许多孩子从2岁起便开始口腔检查。儿童处在发育期,牙齿的健康伴随一生,关爱孩子,从“齿”开始。

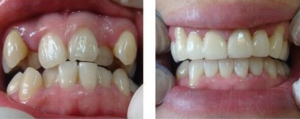
牙齿畸形是一种常见的口腔疾病,轻者不会对孩子有太大影响,然而重者会严重危害孩子的身心健康。那么牙齿畸形究竟有哪些危害呢?
1、影响颌面部的发育。由于大多数错合牙齿畸形是在儿童生长发育过程中形成的,部分错合牙齿畸形会影响上下颌骨正常发育,而使畸形发展愈来愈重。
2、牙拥挤错位时,由于不易清洁及咬合异常可引起牙龈及牙周炎症,易患龋齿。
3、严重的错合牙齿畸形可影响咀嚼功能和呼吸功能,还可导致吞咽异常、发音异常、颞颌关节病变等。咀嚼功能明显降低时,可引起消化不良及胃肠疾病。
4、会影响面容美观,不同程度的畸形对面容有不同影响。
5、儿童因错合牙齿畸形受到同学或小伙伴的嘲笑而自卑,影响心理健康;成人牙面畸形还会影响社交和职业的选择,甚至造成精神和心理异常。
因此对于牙齿畸形我们应该已与重视,从小培养孩子积极的口腔意识。对于儿童牙齿畸形,及早进行矫正,让孩子有一个快乐的童年与美好的明天。如何预防儿童牙齿畸形?
广州越秀圣贝口腔门诊部口腔
广州越秀圣贝口腔门诊部口腔是一家连锁医院,拥有众多国内外著名牙科,并且组建了一支连锁飞行牙医队伍,在口内、口外、修复、正畸、牙美容、牙种植等方面都颇有造诣。二、 广州越秀圣贝口腔门诊部口腔拥有的、温馨的环境、合理的价格,满意的口碑、成功的治疗案例是你治疗口腔疾病的首要选择,同时医院致力打造“您专属的私人牙医”,这种企划理念彰显了医院专业、权威、、奢华的定位和品质,也可体现医院的综合实力,是您较佳的选择。