!-->

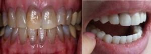
一口健康洁白的牙齿能够让人更加自信,而一口黑牙常常让人难以启齿。牙齿变黑不仅仅影响美观,妨碍交际,同时也会危害牙齿健康。牙齿变黑就是牙齿不健康的表现了。

那该怎样预防牙齿变黑呢?预防牙齿变黑,首先我们要知道牙齿变黑的原因。有哪些原因会使牙齿变黑呢?
1、氟斑牙。主要是因为饮用水中氟含量过高所致。轻度者牙齿表面的牙釉质浑浊不透明,呈白垩色;中度者牙面呈黄色或棕黄色不规则形斑块;重症者除有色泽改变外,还伴有牙面釉质缺损。
2、龋齿。甜食类食物酵解易产酸而腐蚀牙体,久而久之造成牙齿变软,牙组织崩解,形成黑色龋洞。因此平时尽量少吃甜食,食完甜食后好漱口或者刷牙。
3、不良习惯。经常习惯性地饮用浓茶、咖啡、可乐等深色饮食都会使牙齿变黑变黄。其它一些不良习惯如嚼槟榔、抽烟等也会因为深色素日积月累沉积在牙齿表面,有的甚至渗透入牙齿珐琅质内部,造成牙齿变色。
4、四环素牙。牙齿变黑的常见内部原因,是指服用四环素类的抗生素所引起的牙齿变色,服用这类物会在牙齿发育钙化过程中影响牙齿组织而造成牙齿变色,其它如氟化物等物质的摄食过量也会造成牙齿变色。
于此可见牙齿变黑是有多种原因的,因此我们平时要多加注意。要有良好的刷牙习惯,早晚刷牙,饭后漱口。同时也要有良好的饮食习惯,平衡膳食,少抽烟或不抽烟等。每年至少去看一次牙科,洗一到两次牙,减少牙周病的发生。牙齿变黑怎么办
广州越秀圣贝口腔门诊部口腔
广州越秀圣贝口腔门诊部口腔源自,已有近一百年历史,专注牙科。拥有国内外众多著名牙科,组建了一支由德、法、西、葡、以、美、日、韩等国的知名牙科构建的连锁牙医飞行队伍。广州越秀圣贝口腔门诊部口腔拥有的、温馨的环境、合理的价格,满意的口碑、成功的治疗案例是你治疗口腔疾病的首要选择,同时医院致力打造“您专属的私人牙医”,这种企划理念彰显了医院专业、权威、、奢华的定位和品质,也可体现医院的综合实力,是您放心的选择。