!-->

平时由于各种原因都会造成老年人身体出现各种问题,比如说老年人牙齿缺失,缺牙了就会严重的影响他们的口腔健康,那么多颗牙缺失怎么办呢?会不会有很大危害呢?下面广州越秀圣贝口腔门诊部口腔就来为大家详细介绍。

指出,牙齿缺失多颗就会对我们的口腔造成一定的影响,因为多颗牙缺失是会有很多危害的,具体来说主要有以下危害。长时间缺牙能做种植牙吗?
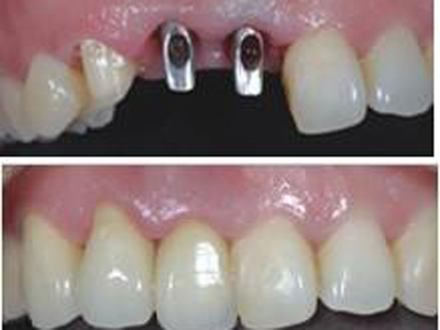
多颗缺失种植牙前后对比
1.牙齿缺失多颗会影响美观:造成面部变形,脸型在人体美中占有重要的位置,多数人只知道眼睛对人的外貌很重要,却不知道,脸型的美观与谐调,是由完整的牙列来维持的。
2.牙齿缺失多颗会造成牙槽骨萎缩:牙缺失后正常咬颌力对牙槽骨的生理性刺激将不复存在,牙槽骨均会出现不同程度的废用性萎缩,并且会给后期假牙修复及维持口腔颌面部的平衡和稳定带来巨大困难。
3.牙齿缺失造成咀嚼功能减退:牙齿缺失后,余留牙齿发生了一系列变化,使原本良好的咬颌关系发生变化,由于余留牙之间有效功能面积相应减少,咀嚼效能降低。

广州越秀圣贝口腔门诊部口腔是你的较佳选择
种植牙适合缺牙、掉牙、牙齿缺失、牙列缺损、牙列缺失、牙断了、补牙、牙齿松动等患者的牙齿修复。
种植牙精准快捷,高。按照"手术导板"制作的义齿的种植体和修复体将完全符合口腔比例,手术更精准、更,不仅患者的义齿质量有保证,而且手术时间短,常规种植每颗牙即刻就可以完成。
做种植牙一定要去正规的医院进行治疗,不要为了贪图便宜,费用低廉是一些小医院吸引患者的惯用伎俩,轻信虚假宣传、贪图便宜,不但会加重病情,而且会增加额外的经济负担。而这里广州越秀圣贝口腔门诊部,不论是种植、医师水平、种植设备、种植环境、种植保障方面都是牙科界内的佼佼者,是您种牙的较佳选择。