!-->

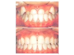
矫正虎牙有什么问题要注意的?每个人都会长虎牙,但是不少人虎牙会有“出轨”的现象,不在正常的牙齿排列之中,而是“自立门户”,往外凸出,格外张狂。这类人群通常一张口,两道“獠牙”刀锋般赫然在目,有碍观瞻。所以,虎牙矫正变得一般普遍。那么矫正虎牙有什么问题要注意的呢?下面广州越秀圣贝口腔门诊部就来为大家详细介绍。

矫正虎牙的注意事项
注意事项一:成年患者在矫治之前通常存在牙周疾病,应对症进行全口牙齿洁治、刮治或牙周病手术,待牙周炎症控制之后才可以谨慎地开展矫正治疗。广州虎牙矫正需要多少钱?
注意事项二:临床上有一些患者的牙根和牙槽骨有粘连而影响牙齿正常移动,有些埋伏牙因存在粘连会导致牵引失败。因此,对于此类患者矫正治疗前要进行仔细检查并事先与患者说明,并确定后备矫正计划,尽可能达到较佳矫正效果。
注意事项三:牙根吸收是一个不容忽视的现象,临床上可以看见一些患者在矫正治疗前就因各种因素存在牙根吸收,如果不仔细观察x线片加以判断,常常会导致诊断设计失误,影响矫正效果。

儿童虎牙矫治广州越秀圣贝口腔门诊部引进的美颜正畸系统。
广州越秀圣贝口腔门诊部连锁牙科连锁医疗机构引进的美国美颜正畸系统是目前连锁上先进的隐形矫正系统,它具有隐蔽、美观、便捷等优势,采用内窥镜检查,全景片检查通过计算机进行三维快速成像,确定牙齿分布状况,再根据力学原理和靶向定位着力点,植入新的与牙齿相容的仿生材料,用聚能的力量将畸形牙移动,后平移成成正常的排列状态,只需3至6个月便可在无形中达到矫治效果,不受年龄限制,无论是成人还是儿童均适合,能够针对每一位患者设计出个性化的矫正方案。复诊次数少,极大解决了患者的宝贵时间。