!-->

种植牙是目前连锁上好的补牙方法,对人体基本无害,各方面均优于传统的镶牙,因此受到许多人的追捧与喜爱。

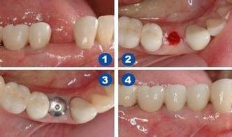
种植牙虽好,但是人们任然对此有些疑问,比如种植牙的寿命,耐不耐用等。广州越秀圣贝口腔门诊部表示种植牙能使用多久并非统一而定的,是由多方面的原因造成的。
1、医生的技术和经验。种植牙对的和经验也有着极高的要求,不仅要求必须接受过专门的学习和培训,同时具有一定的临床经验,才能正确完成种植治疗的每一个步骤,从而保证种植牙的长期效果。
2、选择种植系统是关键。患者对种植牙系统的选择会对种植牙的寿命产生影响。就目前来说,种植牙系统有很多,而不同的种植牙系统,无论是在生产工艺、外形设计,还是在加工精度、消毒设施等方面,都存有一定差异。因此,患者所选择的种植牙系统及材料不同,往往修复后的牙齿效果都会不一样。
3、术后的维护与保养。种植牙术后的维护与保养也会影响种植牙的寿命,因为种植牙与真牙一样。需要使用正确的刷牙方法,保持良好的口腔卫生,预防种植体周围炎症的发生等,就可以对延长种植牙的使用寿命起到积极的促进作用。一般做的种植牙使用年限在40年左右,如果使用得当的话可达终生。
由此可见,在做种植牙时我们应该选择正规专业的医院,才能保证理想的效果。千万不要贪图便宜,选择一些不正规的医院,让您抱憾终身。广州种牙哪家强
广州种植牙哪家好?——广州越秀圣贝口腔门诊部口腔
广州越秀圣贝口腔门诊部口腔是一家连锁医院,圣贝牙科牙齿种植中心凭借种植系统风靡,以50年的传承、50万例成功见证打造出人类的第三副好牙。引进"极束星"断层牙 CT等连锁牙齿种植系统,全程种植。中心聘请的是拥有二十年以上种植经验的连锁亲诊,用连锁化、连锁化服务、连锁化设备让您轻松拥有 健康稳固好牙。