!-->

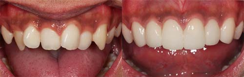
每个人都希望自己的身体能健健康康,但是在生活中很多事情都不是我们能控制的,就像很无奈的牙齿出现生长拥挤现象。那么,牙齿拥挤存在哪些健康隐患?下面广州越秀圣贝口腔门诊部就来为大家详细介绍。

牙齿拥挤存在哪些健康隐患
影响面部的发育:因为牙齿的拥挤就会导致上牙颌骨与下牙颌骨发育不正常导致畸形。广州治疗牙齿拥挤的医院
影响到咀嚼功能:因为牙列拥挤会造成上下牙齿之间的咬合不是那么正常,所以就会造成咀嚼的效率降低,因为食物没有咀嚼透彻,所以肠胃不得不花更多时间去消化,从而增加了肠胃的负担。
导致口腔疾病:正是因为牙齿拥挤所以用牙刷是很难清理干净牙缝当中的食物残渣的。而这些食物残渣如果长期停留在牙缝当中的话,无疑就给细菌提供了滋生的场所,从而导致牙周炎等疾病。
清理牙齿有影响:因为牙齿与牙齿之间一般的紧密,所以进食的时候食物一般容易就卡在缝隙当中,并且清理起来的话也一般的困难。因为这些残渣很难清理干净,所以容易产生细菌对口腔卫生带来危害。

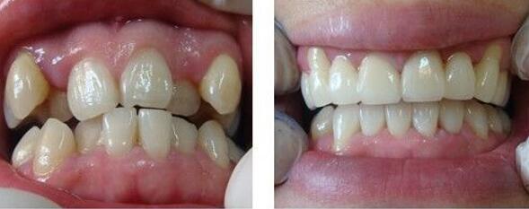
圣贝正畸——美颜正畸
美颜正畸将韩国微整形美容与数控隐形矫正的完美结合,通过牙齿矫正过程中牙槽骨的移动,改变整个牙列的排列,从而带动整个面部骨骼群的和谐重组改建,在对面部和牙齿几乎""的情况下,美颜正畸矫牙术可以同步解决矫牙美容双重难题。让您拥有一副整齐靓丽的好牙不再是梦!
广州越秀圣贝口腔门诊部连锁牙科连锁医疗机构在业界诊疗过程率先采用可调节电子镇痛仪,通过实现对末梢神经疼痛传导的阻碍,进行局麻下的治疗;笑气通过吸入麻醉实现全身心的放松,大限度地避免疼痛的恐 惧,破解了业界及顾客困扰的难题;同时在行业内率先实现“一人一诊室一治疗室一医一助一机一用一消毒”8个一无菌诊疗模式,有效地杜绝了肺结核、肝炎、等各种传染性疾病的交叉感染 。在圣贝使看牙疼痛从此成为历史,快乐看牙变为现实,真正实现看牙后冷热酸甜,想吃就吃,让您再次享受充满美食快乐的品质生活.