!-->

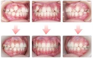
儿童时期不能忽略的就是牙齿,每个父母都希望自己的孩子健康成长,都不希望看到孩子走自己的老路,比如:牙列不齐、地包天、过小牙、牙齿前突等状况。众所周之,孩子是矫正牙齿的黄金时期,那么,在广州给孩子矫正牙齿哪家医院好呢?下面广州越秀圣贝口腔门诊部就来为大家详细介绍。

那么如何选择一个正确的牙齿矫正医院呢?
一般来讲,目前国内的牙齿矫正医院的治疗费用多半较高,并且医院的服务业很难和收费相符合。而现在不断崛起的私立的牙齿矫正医院则相反。部分正规的私立牙齿矫正医院也能达到医院相同的治果,而且服务热诚,很正规,效果也很好,价格公道收费低廉,受到大多数患者的青睐。儿童牙齿矫正多少钱?
温馨提示:矫正牙齿好去正规的医院,以避免各种口腔问题。广州越秀圣贝口腔门诊部拥有国内外经验丰富的、优雅的环境、精湛的医技。广州越秀圣贝口腔门诊部早引进连锁和服务的专业牙齿修复机构,是国内具品牌价值和影响力的口腔医院。先进口腔诊疗设备、超群的口腔团队为您提供精准的口腔诊疗支持。
【圣贝矫正:美颜正畸系统】
圣贝连锁牙科正畸研究中心美颜正畸,在不磨牙,不戴冠的情况下,将韩国微整形美容(颌面外科手术)与数控隐形矫正(牙齿矫正)相结合,在实现健康矫正的同时,利用矫正牙齿过程中的骨移动原理,重新改造面部形态的骨骼群,终实现面部“整形”。

【与传统矫正对比】
传统的正畸是在牙齿上安装“自锁陶槽”,对正畸患者有着年龄限制、复诊时间长,并且影响美观,隐形矫治成本高昂,并且跨越的时间也较长。随着美颜正畸系统的问世,因为具有隐蔽、美观、便捷等优势,一出现就迅速风靡连锁,为那些想要整牙却又对“钢丝圈”有抵触心理的人,提供了一个很好的解决方案。