!-->

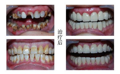
随着社会的发展人们越来越在意自身形象,不少人为了有一口洁白整齐的牙齿而去做全瓷牙。全瓷牙究竟怎样呢?

要知道全瓷牙好不好,首先我们要了解什么是全瓷牙。全瓷牙是全部由不含金属的瓷粉覆盖在牙冠表面做成的。由于不使用金属,而采用与牙齿颜色相近的高强度瓷材料制成,因此比金属烤瓷牙更美观,接近天然牙,而且硬度强度都很好。
全瓷牙的优点:
1、色泽逼真,接近天然牙。 因全瓷牙采用透明性好、折光性强和高强度的全瓷做内冠比金属瓷牙看起来更加自然美观。
2、不会造成磨损。金属烤瓷牙的硬度大于牙釉质,可造成对颌牙的磨损。而全瓷的硬度与牙釉质近似,不对颌牙造成磨损。
3、内外冠结合。金属烤瓷牙内冠和瓷的结合是薄弱的一环,主要是靠化学结合力,经常可以见到瓷和金属剥离,露出灰黑的金属的情况。全瓷牙不会。
4、牙龈不变色。牙龈边缘无黑线,无厚重感,无牙龈红肿出血现象。
5、无不良金属离子渗出,不会影响健康。
6、磨牙较少,更大程度地保留原来的牙齿组织。
全瓷牙的优点很多,但是要求也要搞很多,需要专业的,并且还要有丰富的经验。全瓷牙怎样术后护理
在广州做全瓷牙哪家好?广州越秀圣贝口腔门诊部口腔。
广州越秀圣贝口腔门诊部口腔专注牙科一百年,从事口内、口外、修复、正畸、牙美容、牙种植等手术。拥有国内外著名牙科,有着丰富的临床经验,致力打造“您专属的私人牙医”。同时广州越秀圣贝口腔门诊部口腔全面践行连锁医疗无菌操作理念,在行业内率先实现“一人一诊室一治疗室一医一助一机一用一消毒”8个一无菌诊疗模式,有效地杜绝了各种传染性疾病的交叉感染。在同行率先将灭菌消毒提升至16层,杜绝了因机器污染引发的感染,让您安心看牙。