!-->

蛀牙是发病率较高的一个口腔疾病,因为很普遍所以很多人都蛀牙都不在意,认为是常事。每当听说蛀牙一定要及时拔牙时都很纳闷,蛀牙一定要进行拔牙?下面广州越秀圣贝口腔门诊部口腔就来为大家详细介绍。

长蛀牙的原因及蛀牙症状
蛀牙的形成与日常的生活习惯有很大的关系,形成蛀牙后的牙齿,蛀蚀面部位对糖、奶类食品以及冷、热等物质的刺激特别敏感,因此发作起来的时候,是一种钻骨般的痛,并且龋齿部份有明显的黑点。治疗蛀牙要多少钱?
长蛀牙的解决办法不仅仅只有拔牙
很多小孩有了蛀牙,家长为了小孩牙不那么痛,就选择去医拔牙。家长的这种做法是否正确呢,蛀牙需要拔牙吗?对此,昆明拜尔口腔提醒,在没有弄清龋齿的严重程度就选择去医拔牙这样是不理性的,当发现小孩有蛀牙后,我们应该立即带小孩去口腔科门诊检查,会根据蛀牙的严重程度选择是否拔牙。

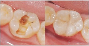
广州越秀圣贝口腔门诊部口腔您使用治疗系统治疗蛀牙
系统让整个治牙过程出血极少,几乎,不需麻醉,可用于蛀牙的根管治疗、牙周病治疗、人工种植牙、牙髓病及口腔软组织切除等方面,是目前口腔治疗的新,代表了口腔诊疗人性化、化和化的发展方向。
广州越秀圣贝口腔门诊部口腔是一家连锁口腔专业机构,具有连锁水准的大型现代化口腔治疗专科,集预防、保健、治疗、美容、修复为一体,组建了由多位博士生导师和国内外知名构成的专业口腔队伍,为广大群众口腔健康保驾护航。