!-->

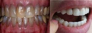
每个人都希望有一口健康洁白的牙齿,然而不少人的牙齿都有一些黑。那么究竟是哪些原因让我们的牙齿变黑呢?

牙齿变黑其实和个人平时习惯有很大的关系,正是因为平时不注意细节,才造成这些后果。
1、物影响。:四环素物可能引起牙齿发黑,孕妇在怀孕期间或者孩子在发育期间服用了四环素物,牙齿被四环素物刺激,导致牙齿发黑。
2、氟斑牙。患者在牙齿发育期间摄入了含氟量比较高的水质导致牙齿发生矿化形成氟斑牙。
3、龋齿。如果人们不注意维护口腔清洁卫生,导致口腔菌斑繁生,而菌斑会酸蚀牙齿的珐琅质,进而使牙齿形成龋洞,造成牙齿发黑。
4、烟渍牙。长期吸烟的人,导致牙齿着色严重,久而久之,形成黑牙。
对于牙齿变黑,刷牙是没有办法让牙齿变白的,刷牙只能在一定程度上抑制牙齿的变黑。广州洁牙多少钱
广州越秀圣贝口腔门诊部口腔——美白牙齿方便快捷
广州越秀圣贝口腔门诊部口腔采用独有的美白系统,多种方式让您选择美白方便快捷。广州越秀圣贝口腔门诊部在发展中早已拥有一个强大的口腔团队,汇聚了欧美、亚洲等连锁着名的牙科,广州交大、华西、四医大等名校的口腔知名教授,为圣贝医疗质量提供了强有力的保障。在圣贝,连锁牙科与知名学者,国内与自神修复团队形成了良好的无缝对接,在口内、口外、修复、正畸、牙美容、牙种植等方面都颇有造诣,是您放心的选择。