!-->

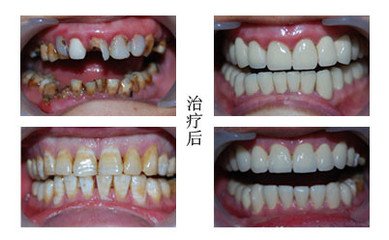
广州做半口种植牙需要多长时间?种植牙指的是一种以植入骨组织内的下部结构为基础来支持、固位上部牙修复体的缺牙修复方式。种植牙可以获得与天然牙功能、结构以及美观效果十分相似的修复效果,已经成为越来越多缺牙患者的修复方式。种植牙的时间和种植牙的寿命一直是想做种植牙的患者所要了解的信息,下面广州圣杯口腔医院就来为大家详细介绍。

做半口种植牙需要的时间主要是以下阶段:
1.术前检查和处理阶段:如拔掉特别松的牙齿、残根,充填齿,治疗牙周病去除不良假牙,调改和纠正不良咬合关系等。这个阶段所需时间视各人治疗情况不同而异;什么时候做种植牙合适?
2.手术阶段:当您的根据术前设计方案,通过手术将种植体植入骨内,术后反应较小。植入一枚种植体的时间约为10-30分钟;
3.术后恢复阶段:种植牙手术后四至六个月,更换或安装恒久牙冠或义齿。恒久牙冠为烤瓷材料制作。其质地优良、色泽逼真,舒适美观,恢复功能满意,经久耐用。
随着年龄的增长,牙齿也慢慢的衰老,很多年长的朋友们都会出现半口牙齿缺失问题,种植牙是目前修复牙齿缺失的好方法,很多半口牙齿缺失的朋友都会选择种植牙来修复自己的牙齿。对于缺失牙齿,选择种植牙是好的修复方法。

种植系统,世界上早、完善的种植系统!
广州越秀圣贝口腔门诊部口腔采用的种植是目前连锁对口腔牙列缺损、牙列缺失修复的较佳之一。该是通过术前对患者牙槽骨进行数字化的影像扫描定位,并根据相关数据制作定位导向,而后"人工牙根"顺着定位导向植入牙槽骨,当"人工牙根"与牙槽骨生物相容稳固后即可进行镶牙。种植牙被誉为乳牙、恒牙之后人类的"第三副牙齿"。
广州越秀圣贝口腔门诊部口腔拥有的、温馨的环境、合理的价格,满意的口碑、成功的治疗案例是你治疗口腔疾病的首要选择,同时医院致力打造“您专属的私人牙医”,这种企划理念彰显了医院专业、权威、、奢华的定位和品质,也体现了医院的综合实力。