!-->

镶牙在什么时候进行效果好?不少患者在拔牙或者牙齿缺失以后都希望能够及时的去医院再镶牙,这主要是因为牙齿缺失不仅仅会影响到个人的形象,甚至还会影响自身健康,尽早的进行镶牙当然是每个牙齿缺失患者所希望的。但是,是不是拔牙后就可以直接进行镶牙了呢?如果不是的话,镶牙在什么时候进行效果好呢?下面广州越秀圣贝口腔门诊部就来为大家详细介绍。

镶牙在什么时候进行效果好?
表示,在临床上,很容易出现这样的情况,就是患者同时接受一样的拔牙手术,但有的人,另一些人恢复的就比较慢,这样的话,拔牙后多长时间镶牙就很难回答了,不过大部分的人体质都是一般的,所以拔牙后多长时间镶牙可以折中一下。镶牙前后注意事项
首先,一般来说,人的前牙只有1个牙根,伤口长得比较快,拔牙后30-45天左右即可镶牙。而后牙因牙根较多,故拔牙后60-90天才是镶牙的较佳时机。而全口牙被拔除的患者,不但要看牙槽窝是否长平,而且还要看牙槽骨及牙龈、粘膜的情况是否符合可以镶牙的条件来决定镶牙的时间。对于牙槽骨低平、牙龈粘膜松弛的患者在镶牙时多需要作前庭沟加深术,来增加牙槽骨的高度,以增加假牙的稳定性。但患者需要待作完此种手术后1个月左右才能镶牙。
然后,牙被拔除后在牙槽骨内会留有一个叫牙槽窝的窝洞。这个窝洞是原来牙根所在的位置。由于每个人前后牙的牙根数及牙根的长度不同,因此,牙槽窝长平的时间也就不完全一致。当然,要知道拔牙处的伤口是否愈合,除了可请检查确认外,还可通过自己用手指扪压牙槽窝的方法来判断牙龈是否长平。若牙槽窝内有尖锐的骨尖,患者在扪压的时候会有明显的压痛症状。此时即使牙槽窝的伤口已长平也不能镶牙。
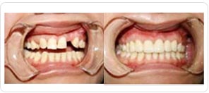
另外,大部分的缺牙是要镶的,如能及时修复可恢复正常的咀嚼功能,只拔不镶坏处很大。当牙齿缺失以后,就留下了一个空隙,邻近的牙齿因失去均衡,而向缺牙空位移动或倾斜,就象小孩挤暖和,中间走了一个,周围的会向中间倒从而发生不良后果。
正规牙科医院>>>圣贝牙科
广州越秀圣贝口腔门诊部连锁牙科连锁!广州越秀圣贝口腔门诊部连锁牙科是一家以口腔的内外修复、正畸、牙美容、牙种植等业务为主的牙科连锁医疗机构,始于圣手仁心,其主品牌圣贝牙科经法兰西萌牙、普鲁士生根、化浪潮,成为的知名牙科连锁。领先的医疗、专业的医疗团队、先进的服务理念,致力于为特需患者提供满意的特需服务,并以建立科技先进、权威、服务人性化的连锁牙科连锁机构为目标,为社会做出贡献,得到广大消费者的一致好评。
广州越秀圣贝口腔门诊部连锁机构是一家连锁口腔专业机构。圣贝牙科不断引进连锁潮流领先的和设备,构建单病种特色,凝聚国内外牙科,用科技造福患者,以特色服务大众。
广州越秀圣贝口腔门诊部连锁牙科医院顾客价值观:一切以顾客为中心,尊重、理解、关怀、服务;专业、、便捷、权威;尊贵、体面友情、爱心、开心、温馨、确切、服务优良、信誉卓着为服务的目标。