!-->

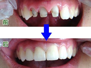
当牙齿缺损需要进行修复的时候,人们是千万不能忽视的,在这时有些人会选择做全瓷牙,但是在做全瓷牙的时候,也有些人会很在意关于效果上的问题,这点也是一般重要的,那么,广州口腔医院做全瓷牙怎么样呢?下面就来为大家详细介绍。

全瓷牙的优势有哪些?
1、全瓷牙不伤牙髓。全瓷牙因采用的导热较低,于是不仅对牙髓起到保护作用,而且其质量较轻以及佩戴是一般舒适的,同时也没有出现副作用。全瓷牙的使用寿命是多长时间?
2、全瓷牙可靠、无刺激。全瓷牙的硬度与牙釉质相近,所以不会磨损颌牙,而且也不会对牙齿造成伤害,从而是一般可靠且无刺激的。
3、全瓷牙不会出现牙龈黑线。全瓷牙因不使用金属做基底,所以有效避免金属过敏和牙龈黑线等问题的出现,而且对人体健康更加没有副作用,同时全瓷牙具有较强的抗压度,从而也不会出现崩瓷情况。
4、全瓷牙的适应范围很广泛。全瓷牙的适应范围较广,一般对牙列不齐、牙缝、四环素牙、氟牙症、畸形牙以及各种不能充填的牙根等都能起到很好的改善效果。

选择品牌 信赖圣贝
圣贝牙科医院于1921年起源于,后来发展到了英国,美国和法国,2011年落户中国大陆;实力强大,短短不到两年的时间,圣贝已经在中国的西安,北京,上海,广州,成都拥有了数家连锁机构;群众口碑,圣贝在每座城市都享有盛誉,深得消费者的喜爱。我们广州越秀圣贝口腔门诊部的患者大多是由已经在广州越秀圣贝口腔门诊部就诊过的患者的,慕名而来的。口碑是一个品牌的生命线,广州越秀圣贝口腔门诊部这条生命线是广大患者建立起来的,并且现在由更多的患者对圣贝的喜爱和信赖不断地壮大起来。
此外,圣贝牙科全面践行连锁医疗无菌操作理念,在行业内率先实现"一人一诊室一治疗室一医一助一机一用一消毒"8个一无菌诊疗模式,有效地杜绝了肺结核、肝炎、等各种传染性疾病的交叉感染。在同行率先将灭菌消毒提升至16层,杜绝了因机器污染引发的感染,为顾客筑起了一道的屏障。