!-->

蛀牙的5大危害你知道多少?蛀牙是一种由口腔中多种因素复合如作用所导致的牙齿硬组织进行性病损。蛀牙对人的危害相当大,不但导致牙齿疼痛,也影响身心健康。很多朋友因为蛀牙导致生活和工作产生了极大的影响。下面就来为大家详细介绍。

蛀牙的5大危害
1、影响生长发育。由于蛀牙疼痛,以及乳牙龋坏早失,导致咀嚼功能降低,胃肠消化吸收减弱,造成机体营养不良,生长发育受到影响。怎样有效预防蛀牙?
2、引起感染性疾病。儿童蛀牙引起根尖周围感染时,往往成为感染病灶,造成全身性感染,与此有关的疾病有视力降低、关节炎、肾炎、心肌炎、长期低热等病。
3、 蛀牙引起的根端肉芽肿、囊肿、牙髓感染等完全可成为感染病灶,在过度疲劳,感冒等身体抵抗力降低时,可诱发肾炎、热、扁桃体炎、脓疱疮、猩红热、败血症等。
4、患蛀牙儿童的口腔温度较正常儿童高,血中白细胞总数升高,血沉增块,红细胞减少,血色素低下,血清总蛋白改变。当蛀牙治疗后则恢复至正常,但血清总蛋白蛋短期内改变不大,因此,当孩子不明原因的低热、贫血、白细胞升高和血沉增快时,不妨首先进行口腔检查。
5、造成心理障碍。婴幼儿期是儿童学习语言的时期,完整的乳牙有助于孩子掌握正确的发音。乳牙龋坏和早失会使孩子发音不清。乳前牙区严重的龋蚀,使有些孩子羞于开口,对孩子的心理发育很不利。
温馨提醒:蛀牙对人的危害是很大的,患有蛀牙一定要及时去医院治疗,不要耽搁;预防蛀牙在生活当中是很重的,为了自己的生活少点烦恼,爱护口腔健康是一种必然行动。

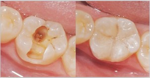
广州越秀圣贝口腔门诊部口腔您使用治疗系统治疗蛀牙
系统让整个治牙过程出血极少,几乎,不需麻醉,可用于蛀牙的根管治疗、牙周病治疗、人工种植牙、牙髓病及口腔软组织切除等方面,是目前口腔治疗的新,代表了口腔诊疗人性化、化和化的发展方向。