!-->

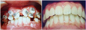
美容冠是覆盖全部牙冠表面的修复体,通常用于牙体缺损严重,用其他方式难以满足长期使用要求的情况。美容冠的寿命也不大相同,那么影响美容冠修复使用寿命的因素有哪些呢?下面广州越秀圣贝口腔门诊部就来为大家详细介绍。

影响美容冠修复使用寿命的因素主要包括:
1、牙齿本身的条件:牙周健康、牙体相对完整、咬合关系正常的牙齿美容冠的使用寿命一般会比较久;相反如果牙齿缺损很大、有牙周疾病、咬合关系不良,美容冠的使用寿命就会大打折扣。美容冠使用寿命是多久?
2、治疗水平:临床牙体预备、制取印模、试戴粘接以及技师加工制作水平等因素,都会直接影响美容冠修复体的制作水平,进而影响其使用寿命。
3、患者的维护保养:患者的维护保养对美容冠修复体的使用寿命也起着重要的作用。患者自身进行认真的卫生保护,避免啃咬硬物,定期复查,早期处理继发问题,能够大大延长美容冠的使用寿命。
圣贝牙科 齿科高铁 45分钟搞定美容冠
cerec5D被誉为“齿科中的高铁”,传统的牙齿美容修复,至少需要一周的时间,西诺德Cerec 3D齿雕、4D齿雕机器人提速至1小时,Cerec 5D如今只要45分钟即可一次性搞定。突破普通美容冠需要7天的尴尬时间。在欧美,用Cerec5D进行牙美容已成政界人士、社会名流、中产阶层趋之若婺的新时尚。

表示,在当今社会,有句俗语是“一分钱,一分货”。牙齿是我们重要的门面,也是我们身体重要的器官,所以,看牙一定得选择正规的牙科医院,正规牙科医院也不会存在漫天要价,都是明码实价的。广州越秀圣贝口腔门诊部是一家连锁口腔专业机构,不断引进连锁潮流领先的和设备,构建单病种特色,凝聚国外牙科,用科技造福患者,以特色服务大众,先进的服务理念,为特需患者提供满意贴心的服务。
广州越秀圣贝口腔门诊部口腔拥有的、温馨的环境、合理的价格,满意的口碑、成功的治疗案例是你治疗口腔疾病的首要选择,同时医院致力打造“您专属的私人牙医”,这种企划理念彰显了医院专业、权威、、奢华的定位和品质。也体现了医院的综合实力。