!-->

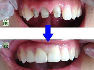
烤瓷牙修复治疗是如今一般受欢迎的牙齿治疗方法,烤瓷牙的种类基本有金属烤瓷和全瓷烤瓷牙两种,它可以根据患者的喜好挑选不同的材料进行修复。那么,烤瓷牙修复的效果到底怎样呢?下面广州越秀圣贝口腔门诊部就来为大家详细介绍。

烤瓷牙修复的效果到底怎么样?
针对烤瓷牙修复治疗的效果问题,有关详细说到,烤瓷牙全称是烤瓷熔附金属全冠,是一种理想的修复体。大家可以从烤瓷牙的优点上体会它好不好:
第一、烤瓷牙在牙龈边缘的封闭性很好,烤瓷牙的制作要求边缘贴合,在龈下1mm处,加上专用非水溶性的粘结材料,就保证了边缘的密封。烤瓷牙使用的寿命长吗?
第二、颜色可调制成真牙颜色一样,不变色,全瓷牙颜色更理想,折光性都跟真牙一致。
第三、生物贵金属制作的瓷牙和全瓷牙,因其电的化学惰性而具有抗腐蚀性,组织无过敏,而普通的不锈钢瓷牙,戴用一段时间,龈缘则可见一暗灰色的边缘。
第四、金属与陶瓷粉在高温下熔融结合在一起后,足以承受口腔内的咀嚼力,贵金属与陶瓷牙结合力更强大。
第五、因为需做烤瓷牙的牙齿往往是变色龋坏多的牙齿,烤瓷冠制作完成后,整个真牙就被金色围在中间,咀嚼时的力量作用在牙冠上,不会折裂或崩掉,而粘结瓷牙冠的粘结剂及瓷层,有良好的绝缘性,防止了外界刺激对牙髓的伤害。

哪家医院做烤瓷牙好?
广州越秀圣贝口腔门诊部口腔拥有的、温馨的环境、合理的价格,满意的口碑、成功的治疗案例是你治疗口腔疾病的首要选择,同时医院致力打造“您专属的私人牙医”,这种企划理念彰显了医院专业、权威、、奢华的定位和品质,也体现了医院的综合实力。
圣贝牙科全面践行连锁医疗无菌操作理念,在行业内率先实现“一人一诊室一治疗室一医一助一机一用一消毒”8个一无菌诊疗模式,有效地杜绝了肺结核、肝炎、等各种传染性疾病的交叉感染。圣贝牙科在同行率先将灭菌消毒提升至16层,杜绝了因机器污染引发的感染,为顾客筑起了一道的屏障。