!-->

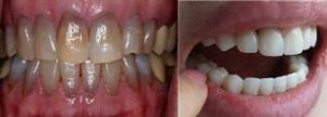
烟渍牙的危害有哪些?如何美白烟渍牙?牙齿美白方法?广州越秀圣贝口腔门诊部介绍所谓烟渍,就是经常吸烟的人在牙齿上留下的一种牙渍,每天都抽烟的人,积累下来,烟渍就很严重,沉积在牙齿表面或者根部,就成了烟渍牙。都说吸烟有害健康, 那么烟渍牙对身体有危害吗?烟渍牙的危害有哪些?如何美白烟渍牙?下面就来为大家详细介绍。

烟渍牙的危害有哪些?如何美白烟渍牙?
1.烟渍牙影响人的外在形象。烟渍牙患者一笑就会露出一口烟渍牙,这会对一个人在外在形象造成极大的影响。久而久之,就使其产生自卑心理。烟渍牙如何变白?
2.烟渍牙的危害之影响心理健康。正如我们希望得到周围的人喜欢、尊重和有修养一样,注视一个人的身体外观是人普遍的特性。
广州越秀圣贝口腔门诊部口腔美容冠独特优势:
1、高效:全程,高效快速,2次治疗,只需等待7天,即可完成。
2、不伤原牙:美容冠在不损伤牙齿、牙龈的前提下根据牙槽骨的形态对牙齿做修整,仅对不整齐的凸出部位进行精细打磨,无需拨牙。
3、自然持久:VITA比色,以26阶牙色层次化类比,为你调配适合牙色,更采用三维数字成型,使之呈现持久天然光泽。
4、坚固耐磨,终生美齿:无不良反应,无以往存在的牙龈红肿、黑线等现象。
广州越秀圣贝口腔门诊部 值得您信赖!
广州越秀圣贝口腔门诊部口腔团队对牙齿美白都积累丰富的临床经验,借患者之间的口碑相传,声名远播,全国患者纷纷前来就诊,是您的较佳选择。圣贝全面践行连锁医疗无菌操作理念,在行业内率先实现"一人一诊室一治疗室一医一助一机一用一消毒"8个一无菌诊疗模式,有效地杜绝了肺结核、肝炎、等各种传染性疾病的交叉感染,让患者放心看牙!