!-->

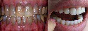
为什么会有色素牙,该怎么美白?日常生活中,人们经常会遇到一些牙齿发黄发黑的人。广州越秀圣贝口腔门诊部的说,有喝咖啡导致的咖啡牙,抽烟所致的烟渍牙,茶渍牙,以及先天形成的那些牙齿着色都属于色素牙,很是影响人们牙齿的美观,并且破坏人们的形象。但是,很多人并不清楚为什么自己会有色素牙。下面就来为大家详细介绍。

为什么会有色素牙,该怎么美白?
广州越秀圣贝口腔门诊部的告诉大家说,色素牙的形成原因有很多,主要是以下几种:
一、常喝浓茶、咖啡和吸烟的人,牙齿表面如盖上了一层色素,多呈黑色,可全口牙齿的唇面、颊面和舌面全部着色。广州色素牙如何治疗?
二、四环素引起的牙变色,四环素牙常发生在7岁以前曾因患病口服四环素的人,常表现为前牙或全口牙均变色。
三、氟斑牙,在牙齿生长发育期居住在饮水含氟量过高的地区,并饮用了含氟量高的水。表现为牙齿表面有白垩色或黄褐色斑块,严重者可有牙体缺损。
色素牙怎么美白,选择炫彩美白有什么优势呢?
1、快速:在牙齿表面上涂抹无害的美白材料之后,全口牙齿一次照射,大大缩短了美白时间。完成一次全口美白,时间不超过30分钟。
2、:采用的是低温冷光,不产生热效应,完全避免了操作过程中牙神经的不适感,所以在美白过程中牙齿不会痛。
3、持久:多种光源配合的全方位综合冷光源,可大程度催化美白剂渗透并吸收。美白效果可维持2年以上。
4、效果显着:根据临床实验表明,使用光谱炫彩美白,其效果可提高8—14个vita色阶,操作过程仅需三十分钟,,美白效果显著。
5、美白个性化:独有的单颗牙齿美白功能,可针对问题牙齿进行单独美白,而不必影响其他牙齿色泽,极大的满足了个性化的需求。

源自的牙科豪门——广州越秀圣贝口腔门诊部连锁牙科,作为一家具有百年悠久历史的牙科连锁品牌,引进一系列的数字化前沿口腔医疗设备,舒适明亮的就医环境,全透明式的消毒隔离操作系统,执行连锁标准化的管理体制,组建了美国、英国、法国、以色列、西班牙、韩国等牙科发达的连锁著名的牙科、汇聚了国内口腔学者。环境星标准、服务星标准、质量星标准、管理星标准、个性化诊疗星为标准,开创了陕西连锁化、专业化、质量化、科技化、信誉化的连锁牙科风范。