!-->

种植牙治疗牙齿缺失会有什么危害?牙齿缺失常常会给人们的外观和健康造成很多的危害,因此,人们都会选择种植牙来弥补自己缺失的牙齿。广州越秀圣贝口腔门诊部的说,种植牙是目前为流行的一种牙齿修复,与人体相容性极高,而且对牙齿不会不产生任何不良的副作用,因此,种植牙治疗牙齿缺失会有什么危害?也是很多人都关心的问题。

种植牙治疗牙齿缺失会有什么危害?
指出,种植牙手术就其本身而言是没有危害的,但是如果选择的种植牙医院不够正规和专业,或是术后护理不当的话就会带来一些伤害,较为常见的有出血、感染、伤口开裂等。所以,要避免危害,那就一定要选择正规的口腔医院、认准权威的和合格的专业设备,在专业的口腔医院,不仅种植牙的使用寿命有保障,并且对身体的伤害也会降到低。广州做种植牙有哪些优点?
即刻种植打破瓶颈,大大缩短种植时间
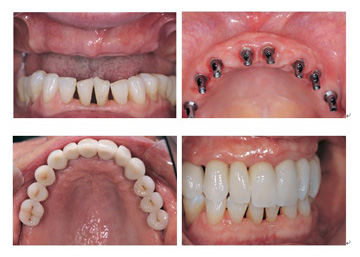
牙种植按照植入时机分为延期种植牙和即刻种植牙,目前临床较普遍应用的是延期种植牙,它是拔牙创愈合3-6个月以后,在健康的牙槽嵴上植入种植体,然后经过3-6个月的骨融合期再进行义齿修复。即刻种植牙在此基础上升级,拔牙后同期植入种植体,即在新鲜的拔牙创内立即植入种植体,大量实验和临床研究证实即刻种植和延期种植一样可以获得成功的骨结合。

牙齿种植 选择广州越秀圣贝口腔门诊部!
广州越秀圣贝口腔门诊部口腔采用的普士即刻种植牙是目前连锁对口腔牙列缺损、牙列缺失修复的较佳。普士即刻种植是通过术前对患者牙槽骨进行数字化的影像扫描定位,并根据相关数据制作定位导向,而后"人工牙根"顺着定位导向植入牙槽骨,当"人工牙根"与牙槽骨生物相容稳固后即可进行镶牙,种植牙被誉为人类的"第三副牙齿"。
广州越秀圣贝口腔门诊部口腔拥有的、温馨的环境、合理的价格,满意的口碑、成功的治疗案例是你治疗口腔疾病的首要选择,同时医院致力打造“您专属的私人牙医”,这种企划理念彰显了医院专业、权威、、奢华的定位和品质。也体现了医院的综合实力!