!-->

龋齿是一种细菌性疾病,可以继发牙髓炎和根尖周炎,甚至可引起牙槽骨和颌骨炎症。此外,龋齿的继发感染还可以导致关节炎、肾炎和多种眼病等。因此我们要多加了解了龋齿的特性,积极预防。那么我们该怎样预防龋齿呢?

什么样的龋齿预防方法有效
第一,减少或控制饮食中糖的含量:
家长应教育儿童养成少吃零食和甜食的习惯,尤其是睡前,要注意儿童三餐的合理搭配,养成儿童多吃蔬菜、水果和富含钙、磷、维生素食物的习惯。此外,还要重视婴儿的母乳喂养。龋齿应该怎么治疗?
第二,增强牙齿的抗龋性:
主要是通过氟化法增加牙齿中的氟素,特别是改变釉质表面的结构,以增强牙齿的抗龋性。在高氟区则不能使用。此外,有氟斑牙的儿童也不应使用氟化方法。
第三,减少或消除病原刺激物:
比较实际有效的办法是刷牙和漱口,尽可能做到每次饭后都要漱口,早晚各刷牙一次。小儿可由家长用柔软毛巾或绒布擦洗牙齿。3岁以上的幼儿则可以自己试着刷牙。

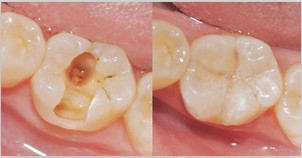
广州越秀圣贝口腔门诊部口腔您使用治疗系统治疗蛀牙
系统让整个治牙过程出血极少,几乎,不需麻醉,可用于蛀牙的根管治疗、牙周病治疗、人工种植牙、牙髓病及口腔软组织切除等方面,是目前口腔治疗的新,代表了口腔诊疗人性化、化和化的发展方向。