!-->

现如今种植牙是一般流行的一种牙齿修复方法,为全口牙缺失的朋友带来了福音,“牙齿”重新长出来以后不仅增加了面部的美观,而且大大增加了患者的食欲,吃嘛嘛香,但是很多人都很关心全口种植牙的使用寿命,那么,全口种植牙的使用寿命受哪些因素的影响?下面广州越秀圣贝口腔门诊部就来为大家详细介绍。

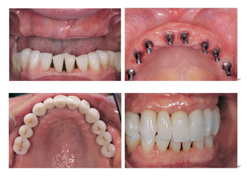
全口种植牙并不是真的种上自然牙齿,种植牙是通过医学方式,用生物材料制成的一种仿生牙。它采用人工材料(如金属、陶瓷等)制成种植体(一般类似牙根形态),经手术方法植入组织内(通常是上下颌)并获得骨组织牢固的固位支持,通过特殊的装置和方式连接支持上部的牙修复体。种植后的牙齿美观大方,和真实的牙齿一样自然,已经成为众多牙齿缺失的朋友的牙齿修复方法。全口种植牙要多少钱?
哪些因素影响全口种植牙的使用寿命
1、身体的健康:健康的身体对于种植牙的使用寿命是有很大帮助的,如果疾病缠身,身体的抵抗力和免疫力会有所降低,对于口腔的种植会受到影响。
2、种植系统的选择:现在市面上种植牙的设备有很多种,但是好选择先进的治疗设备,不仅种植牙的会有所提高,而且种植牙的使用寿命也会有保障。
3、牙齿情况:每个人的牙齿情况不一样,如果种植牙周围的牙槽骨没有萎缩,种植牙的效果就会好一些,使用的寿命也会相对长一些。
4、专业的水平:种植牙是一项一般缜密的工作,一定要有专业的、有经验的操作,种植牙的才会有保障。
5、种植牙维护:做完种植牙后的护理工作也是一般重要的,及时清理掉口腔内的污渍,饭后漱口,并能够定期到医院进行洗牙护理。

种植:种植系统,世界上早、完善的种植系统!
广州越秀圣贝口腔门诊部口腔采用的种植是目前连锁对口腔牙列缺损、牙列缺失修复的较佳之一。该是通过术前对患者牙槽骨进行数字化的影像扫描定位,并根据相关数据制作定位导向,而后"人工牙根"顺着定位导向植入牙槽骨,当"人工牙根"与牙槽骨生物相容稳固后即可进行镶牙。种植牙被誉为乳牙、恒牙之后人类的"第三副牙齿"。