!-->

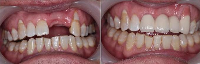
近些年来,种植牙很流行,它的出现为许多牙齿缺失的朋友带来了希望,它对于牙齿缺失的修复的效果是有目共睹的,在口腔界它还获得的了人类第三副牙齿的美名,广州越秀圣贝口腔门诊部种植牙取得了重大的突破,大大缩短了我们种植牙的治疗时间,令种植牙变成一件轻松、快捷的事。

那么广州做种植牙有哪些优点?
一、种植牙使用后口感舒适
种植牙抛弃了传统镶牙中的钩和套,也不用牙托,口中感觉十分舒适。种植牙的大小、外形均采用计算机设计,与患者的真牙匹配一致,异物感,不影响正常发音,感受如同真牙,让你尽情享受美食的乐趣。全口种植牙大概需要多少钱?
二、种植牙不会伤害健康的邻牙
牙齿缺失的修复性重要。安装固定假牙需要磨掉缺牙两侧健康牙的部分组织,会对旁边的牙齿造成较大伤害。一旦以后两侧牙齿出现问题,那么整个假牙需要拆掉重做。而种植牙则是独立存在,更不用磨损两侧健康牙齿。种植牙安装过程则由计算机控制,整个种植过程十分,患者可以在舒适、、轻松的状态下完成手术过程。
三、即刻种植牙,一次完成无需等待
传统的种植牙,治疗时间长,术后还要忍受3-6个月无法正常咀嚼的痛苦。而广州捷康口腔新引进的种植牙,整个种植过程只需一小时,植入种植体即可戴上义齿,无需任何愈合时间,种植完成后牙齿就能负重,恢复正常的咀嚼,大大缩短了治疗时间,不对生活与工作造成影响,无需等待折磨,不必多次往返。
四、种植牙以假乱真,酷似真牙,却更胜真牙
种植牙牙冠采用酷似真牙的陶瓷材料制成,色泽、反光度、透明度等均与真牙相似,还可通过电脑根据你的真牙颜色自由调色,获得与你的真牙相匹配的颜色。在外形上,种植牙则是采用计算机精密设计牙冠体,可根据患者牙齿不同特点,进行个性化外观设计,令种植牙在外形、颜色、光泽等方面做到与真牙以假乱真,放心开口大笑,也不会有发现你口中的“秘密”。

牙齿种植 选择广州越秀圣贝口腔门诊部!
广州越秀圣贝口腔门诊部口腔采用的普士即刻种植牙是目前连锁对口腔牙列缺损、牙列缺失修复的较佳。普士即刻种植是通过术前对患者牙槽骨进行数字化的影像扫描定位,并根据相关数据制作定位导向,而后"人工牙根"顺着定位导向植入牙槽骨,当"人工牙根"与牙槽骨生物相容稳固后即可进行镶牙,种植牙被誉为人类的"第三副牙齿"。
广州越秀圣贝口腔门诊部口腔拥有的、温馨的环境、合理的价格,满意的口碑、成功的治疗案例是你治疗口腔疾病的首要选择,同时医院致力打造“您专属的私人牙医”,这种企划理念彰显了医院专业、权威、、奢华的定位和品质。也体现了医院的综合实力!