!-->

牙列拥挤是牙齿不齐的一种表现,它对人的面貌影响比较大,给人的自信心造成重创。牙齿矫正是目前能够让牙齿变得更加整齐的有效方法,对于爱美人士来说,是一种可取的方法。那么,牙列拥挤为什么要矫正?下面广州越秀圣贝口腔门诊部就来为大家详细介绍。

牙列拥挤为什么要矫正?其实牙列拥挤对人是有危害的:
1、牙列拥挤影响牙齿清洁:因为牙齿的拥挤,导致吃东西食物容易残留在拥挤处,造成牙齿清洁困难,而因为拥挤处的残留物不容易清洁,很容易形成细菌,软垢,等经常给牙齿带来一些列的病症。牙列拥挤要怎么办?
2、牙列拥挤影响发育:某些牙齿排列不齐,会妨碍上下牙弓颌骨的正常发育,使畸形愈来愈严重。例如,前牙反颌,下前牙盖在上前牙的外边,下牙弓阻挡了上前牙向前的发育,使上颌骨的发育也受到影响;而下颌骨过度地向前发育,造成面部中央凹陷畸形。
3、牙列拥挤易患牙病:牙列拥挤,牙齿排列不整齐,就很难保证口腔卫生,由于刷牙不容易刷干净,牙垢常堆积在牙缝中,形成细菌滋生繁殖的理想场所,使牙齿容易发生龋齿,牙龈也很容易发炎。
4、牙列拥挤影响上下颌牙齿之间的咬合关系:进而影响正常的咀嚼功能,降低咀嚼效率,久而久之,可能因此而引起消化不良和胃肠功能的紊乱。长期的受力过大,过度疲劳,牙齿、牙周都会不堪重负,损伤慢慢出现,终造成牙齿的过早脱落。

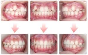
圣贝正畸——美颜正畸
美颜正畸将韩国微整形美容与数控隐形矫正的完美结合,通过牙齿矫正过程中牙槽骨的移动,改变整个牙列的排列,从而带动整个面部骨骼群的和谐重组改建,在对面部和牙齿几乎""的情况下,美颜正畸矫牙术可以同步解决矫牙美容双重难题。让您拥有一副整齐靓丽的好牙不再是梦!