!-->

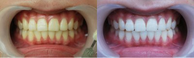
现在,随着有色食物越来越多,人们越来越讲究菜的品种,吃的方面越来越挑剔,然而我们牙齿也会沾染上颜色,形成所谓的色素牙,那么黄牙能恢复美白吗?下面广州越秀圣贝口腔门诊部就来为大家详细介绍。

针对不同的黄牙有不同的美白方法,具体如下:
超声波洗牙。洗牙,其实主要是针对清除牙齿结石的部分。因为牙结石更容易造成牙菌班的堆积,造成牙龈炎、牙周病。所以去除牙结石是医疗行为。当然在治疗的同时,齿颈部,邻接面的结石去除掉了,牙齿也会有美白的表现。厚层的染色,超声波洗牙也可以去除大部份。但是在牙齿有凹洞,有沟槽,或是邻接面的地方,染色是不易清除的。广州洗牙要多少钱?
美容冠美白然而对于重度四环素牙和氟斑牙,则可以通过美容冠美白进行修复。美容冠牙齿美容是仿生设计学的新科技成果,是在烤瓷牙牙齿美容上新的突破,更强调牙齿的美学效果,对错位牙、畸形牙、色素牙的临床冠部分施以专业手段,后用仿生美容冠加以修复。不仅具有美牙不拔牙,苦,牙齿坚固,整个疗程只需7天,仅需来院2次即可,且多年后牙龈不会出现黑线等优点。从而达到终生美齿。

广州越秀圣贝口腔门诊部口腔值得您选择!
圣贝牙科将牙周洁冶做为口腔健康护理的拳头产品,以光学数码扫描、高频声纳定位、螺旋冷光清洁、进口纳米盐喷纱、进口矽离子炫丽抛光、360度全方位牙周护理组成了牙周洁治的"矩形方阵"。圣贝在同行率先将灭菌消毒提升至16层,杜绝了因机器污染引发的感染,为顾客筑起了一道的屏障。圣贝建议:1年两次定期牙"洁治",去掉牙面上的牙石、牙菌斑、烟斑、茶垢等牙垢,从而起到减轻牙龈炎牙周炎症状况、保护牙周健康和美白牙齿的作用,是治疗和预防牙周疾病的基本方法之一