!-->

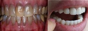
一口整齐洁白的好牙每个人都想拥有,不仅是健康的体现,而且美观漂亮。牙齿发黑是生活中很多人会遇到的一个让人尴尬的问题,且很多人都不了解黑牙是怎么形成的,更不了解美白黑牙的方法,下面让我们的来为您详细解答,黑牙要怎么美白?

介绍:牙齿变黑原因大体可分为内源性色素牙和外源性色素牙两种,具体为四种情况:年龄老化造成牙齿变黑、蛀牙使牙齿变灰变黑、四环素类的抗生素所引起的牙齿变色以及长期习惯性地饮用咖啡、浓茶、可乐等深色饮食都会使牙齿变黄、变黑。
广州越秀圣贝口腔门诊部表示,对于牙黑患者是采取牙齿美白的方法进行治疗,目前先进运用广泛的牙齿美白治疗方法是Prince炫彩美白,为更好的服务患者,特意从外国引进Prince炫彩美白,在国内深受美白患者的喜爱。
Prince炫彩美白的优点:
1、美白时间短:Prince炫彩美白在对黑牙进行美白的时候只需30分钟即可完成,在这30分钟内低温蓝光会对牙釉质进行深层清洁,更快捷、无害。
2、效果持久:Prince炫彩美白是普通冷光美白的升级版,所以对于牙齿美白有更高要求及想美白时间持续更长者可以采用。因为该进行牙齿美白后,护理得当高效果可达5-10年。
3、大众化消费:Prince炫彩美白价格合理,在普通人能承受的费用范围之内。患者可放心就诊。
4、操作时间短;使用Prince炫彩美白美白,只需30分钟就可美白。》》》成人牙齿矫正贵吗?
广州越秀圣贝口腔门诊部口腔 值得您信赖!
广州越秀圣贝口腔门诊部口腔引进的炫彩美白系统,是目前连锁上先进的牙美白之一,它运用了光谱原理,采用低温蓝光,隔出一切有害的紫外线与红外线,完全避免了操作过程中的不适与刺激、对周围组织的副作用。一次性30分钟至45分钟的治疗,可使牙齿平均提高5—14个VITA色阶,并使治疗后的牙齿具有自然的光泽。此外,圣贝连锁牙科连锁医疗机构在同行率先将灭菌消毒提升至16层,杜绝了因机器污染引发的感染,为顾客筑起了一道的屏障,让患者放心看牙!