!-->

如今人们已经不仅仅是追求健康那么简单,对于牙齿的要求也变得更高了。随着科学的快速发展,牙齿美白的方法也变得多样性和更有针对性,所以要美白牙齿的朋友应该选择合适自己的美白方法,美白牙齿也要对症下,下面让来告诉我们有些什么美白方法。

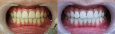
指出牙齿美白必须针对着色原因治疗才能收到理想效果。外源性牙齿主要由茶垢、烟渍、红酒以及饮用水中的矿物质引起。内源性着色是在牙齿发育过程中形成的,如四环素牙、氟斑牙等。
目前常用的牙齿美白方法主要有以下几种:
1、洗牙,主要适用于外源性着色,对预防牙龈、牙周炎症也有很好的作用。
2、烤瓷牙,将做好的烤瓷牙套粘固在经过磨改后的真牙上。目前应用比较普遍,对内源性着色过深,用其他方法效果不满意的人较为适宜。但它要磨除一部分牙体组织,对牙齿本身是一种损伤。
3、冷光牙齿美白,这项通过特殊的光作用,去除牙齿表面及深层所附着的色素,是目前漂白脱色效果较强的一种方法,一般能够保持两年左右。
4、贴面美白,贴面美白是在牙齿表面粘上一层烤瓷片或塑料牙片及树脂,遮盖变色的牙齿。这种方法的缺点是,如果治疗水平或个人保养不好,会很快磨损脱落。
5、牙齿美白胶,它是一种家庭式的美白方法,能够对四环素牙、氟斑牙、烟斑、茶锈等牙齿着色起到一定的脱色作用,但对有牙釉质表面缺损的患者效果不理想。》》》老人牙缺失的危害有哪些?
炫彩美白
广州越秀圣贝口腔门诊部口腔推出的炫彩美白牙齿发源于,是当今世界为先进的牙齿美白之一,与3D数字克隆牙(全瓷冠)和全瓷贴面并列为牙齿美白的三大核心。由于其操作方便时间短、、效果持久、副作用小、价格便宜等诸多优点,一经面世即受到世界各界爱美人士的追捧,并已经成为好莱坞等演艺圈明星的美容标配产品。炫彩美白牙齿,至今已经为几千位爱美人士带来灿烂的笑容。

广州越秀圣贝口腔门诊部口腔 值得您信赖
炫彩美白性强,选择一个好医院,也是对口腔健康的负责。广州越秀圣贝口腔门诊部口腔现在凭借着,“高科技、高水平的医疗质量,医术与艺术相结合、医患沟通零距离是圣贝客服的终目标;优雅舒适的环境,无菌、就诊的服务是连锁医疗质量标准的基础。”圣贝牙科创新性地在国内实行“8个一”无菌感控制模式:一人一室、一椅一治疗、一医一助、一机一消毒,有效避免了传染性疾病的交叉感染。