!-->

生活中导致多颗牙齿缺失的原因有很多方面,绝大多数都是因牙龈炎、龋齿等口腔疾病而引起的,牙齿缺失如果不及时进行修复,将还有可能是会发生牙髓炎、牙齿折裂等现象,进而影响咀嚼功能。那么多颗牙齿缺失该怎么办?

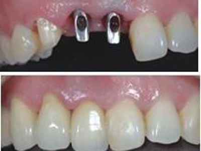
表示针对很多颗牙齿缺失,目前好的方法就是采用种植牙手术来进行改善,种植牙能够帮助恢复牙齿的咀嚼功能的同时还能全面改善牙齿和嘴巴的美观。种植牙是以种植材料埋植到牙槽骨内,再在其上做假牙的一种修复方法。
多颗牙齿缺失怎么修复?
针对多颗牙齿缺失,相较于传统的假牙修复方法,人工种植牙手术精细度要求高,对的要求更加严格,通常修复后的牙齿,效果不仅逼真,美观,种植牙的咀嚼力还比其它假牙更强,因此我们说种植牙的效果是为理想的。
——种植牙
种植融入了全息检测及电脑设计,还采用了种植方式。克服了传统内连接种植体系固有的弱点,可以缩短治疗时间、简化操作、降低费用,同时增加了治果的可预测性,同时大幅缩短骨愈合时间,更适用于即刻种植。
领先的种植牙方式,摆脱了传统种植方式的切开翻起牙肉、缝合、拆线等步骤,只需要微小的切口,顾客可以在舒适、、轻松的状态下完成手术过程。与人体的相容性极高,密合性很高,因此,使用寿命就长,如果使用得当,便会使用终身。》》》牙齿脱位怎么办?
圣贝牙科医疗质量值得信赖!
广州越秀圣贝口腔门诊部口腔引进一系列的数字化前沿口腔医疗设备,构成了圣贝牙科庞大的数字化家族,让人们放心看牙,而且这里所聘均为专科,在其所研究的领域有一定造诣。而且所有材料均为国外进口,新加坡统一配货,经过层层把关进入圣贝,种植牙质量更有保障。另外,圣贝连锁牙科连锁医疗机构在同行率先将灭菌消毒提升至16层,杜绝了因机器污染引发的感染,为顾客筑起了一道的屏障。