!-->

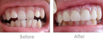
生活中多数人的牙齿都不是天生就很漂亮,为了拥有一口漂亮的牙齿很多人会去选择牙齿矫正,有的成年人由于小时候没有注意牙齿,错过了牙齿矫正的较佳时间,等到想要矫正的时候又担心会受到年龄的影响,那么成年人现在还能做牙齿矫正吗?

广州越秀圣贝口腔门诊部口腔指出,成年人是可以做牙齿矫正的,目前适用于成年人牙齿矫正的方法也不止传统矫正方法,比如隐形矫正、美容冠等,但是在进行牙齿矫正前,大家需要了解和注意两个问题。
1、成人口腔情况复杂
在儿童时期,由于牙齿没有经过太多的”风霜“,而且口腔也没什么问题,比较好治疗。但成年后,人们常常会出现很多口腔问题,如龋齿、牙龈炎、牙周炎、牙齿缺损等等问题,在做矫正之前要控制好口腔疾病,只能在口腔卫生良好的口腔环境下进行治疗,所以会比较复杂。
2、治疗时间长
由于成年人骨骼发育已经完成,在做矫正时,所需要的治疗时间会比儿童长。儿童牙齿矫正的时间相对会短一些,成人牙齿矫正由于牙齿已经定型,牙齿代谢和移动比较慢,所以需要的时间会略长,大概在1、2年左右。
广州越秀圣贝口腔门诊部口腔——美颜矫正
美颜矫正采用内窥镜检查,全景片检查通过计算机进行三维快速成像,确定牙齿分布状况,再根据力学原理和靶向定位着力点,植入新的与牙齿相容的仿生材料,用聚能的力量将畸形牙移动,后平移成成正常的排列状态,通过3至6个月在无形中达到矫治效果。

选择美颜正畸的好处:
1、个性化及可预见:在治疗前可视化模拟整个治疗过程中牙颌的变化,更好的选择个性化的矫正方案,突破了年龄限制。
2、无形:几乎完全隐形,患者在他人毫无察觉下完成牙齿矫正。临床操作简便、口腔异物感小。
3、舒适:没有传统意义上的托槽、钢丝等矫正装置,对口腔黏膜的刺激也较小,矫正过程更加舒适。
4、省时:复诊次数少,节约患者和的宝贵时间。
5、:矫正和植入材料环保,五牙龈炎、牙齿脱矿、变色等担忧。》》》成人牙齿矫正会不会很贵?
温馨提示:成年人牙齿矫正后容易出现反弹症状,需要按照的意见佩戴保持器,专业正规的医院一般矫正效果会比小诊所要好很多,也不会出现医疗事故,所以建议大家选择专业正规的医院进行牙齿矫正。

牙齿矫正 广州越秀圣贝口腔门诊部
广州越秀圣贝口腔门诊部口腔是一家连锁口腔专业机构,具有连锁水准的大型现代化口腔治疗专科,集预防、保健、治疗、美容、修复为一体,组建了由多位博士生导师和国内外知名构成的专业口腔队伍,为广大群众口腔健康保驾护航。