!-->

您了解过龅牙吗?或是您身边朋友有患龅牙的吗?近日,广州市的林女士就因为龅牙而感到苦恼,原来林女士一直都患有龅牙,因为没有太重视也就没有去进行相关的治疗,但目前林女士怀了宝宝,自己因为深知龅牙的影响,害怕将来孩子也跟自己一样,所以她急切的想知道:龅牙会不会遗传?

针对龅牙会遗传吗这个问题,表示龅牙包括上颌(上面牙齿)朝外突出以及下颌(下面牙齿)往口腔里靠的情况。后者的遗传因素更强。上颌突出可能是由于小时候咬铅笔,或吃奶姿势不正确等不良习惯造成,而下颌后缩是后天人为原因所致的可能性一般小,大多是从胎中带出来的。
龅牙不仅影响面部的美丽,也影响口腔的健康。日常生活中很多新生胎儿都有龅牙的情况,这都是由于遗传因素造成的。如果父母的龅牙是先天的、遗传性的,那么龅牙遗传给孩子的可能性就一般大。而如果父母的龅牙是后天的,如吮指,张口呼吸、唇裂等造成的,这类龅牙遗传性比较小。》》》牙齿不小心碰断了怎么办?
随着矫正的进步与发展,龅牙并没有大家想象中难以解决。对于有龅牙同时乳恒牙替换完的孩子(10-12岁左右),家长可带孩子到医院检查,找出错颌畸形的类型,再为孩子确定合适的矫正方法,1-2年左右就可解决龅牙。

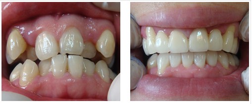
患有龅牙如何矫正?
广州越秀圣贝口腔门诊部口腔引进的美颜正畸,在不磨牙,不戴冠的情况下,将韩国微整形美容(颌面外科手术)与数控隐形矫正(牙齿矫正)相结合,在实现健康龅牙矫正的同时,利用矫正牙齿过程中的骨移动原理,重新改造面部形态的骨骼群,终实现面部"整形"。
温馨提示: 广州越秀圣贝口腔门诊部口腔团队对龅牙矫正都积累丰富的临床经验,借患者之间的口碑相传,声名远播,全国患者纷纷前来就诊。您的较佳选择。