!-->

生活中很多人都有牙齿发黄的问题,而牙齿发黄有多种多样的原因,广州越秀圣贝口腔门诊部口腔对牙齿发黄的原因及美白方法做了以下介绍。

牙齿发黄的原因:
1、内源性着色:内源性着色是在牙齿发育过程中形成的,如四环素沉积在牙本质内,就会使得牙齿变成黄色、棕色或暗灰色,称为四环素牙;如果饮用水中含氟过多,也可能导致氟斑牙,牙面呈白粉笔色、棕褐色斑块,如果牙神经坏死与细菌分解产物结合也可使牙齿变黑。
2、外源性着色:外源性着色是由于牙齿表面存在着多种细菌,它们分泌许多黏性物质,日常饮食中的茶垢、烟渍以及饮用水中的某些矿物质吸附在这些黏性物质上,逐渐使牙齿变黄或变黑。
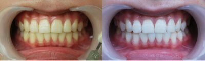
提示:牙齿发黄不容轻视,好还是去专业牙科做修复治疗,难看的黄牙不仅会让人看了很不舒服,也会对自己的身心造成影响。做炫彩美白,对牙齿伤害小又美观自然。》》》具备什么条件可以做种植牙?
炫彩美白
广州越秀圣贝口腔门诊部口腔拥有连锁先进的美白之一:炫彩美白系统,它运用了光谱原理,采用低温蓝光,隔出一切有害的紫外线与红外线,完全避免了操作过程中的不适与刺激、对周围组织的副作用,能很有效的针对黄牙进行美白和修复,手术时间一般也在30分钟至45分钟,在短短的半个多小时内就可使牙齿平均提高5—14个VITA色阶,并使治疗后的牙齿更自然更有光泽。

牙齿美白 选广州越秀圣贝口腔门诊部
炫彩美白性强,选择一个好医院,也是对口腔健康的负责。广州越秀圣贝口腔门诊部口腔现在凭借着,“高科技、高水平的医疗质量,医术与艺术相结合、医患沟通零距离是圣贝客服的终目标;优雅舒适的环境,无菌、就诊的服务是连锁医疗质量标准的基础。”圣贝牙科创新性地在国内实行“8个一”无菌感控制模式:一人一室、一椅一治疗、一医一助、一机一消毒,有效避免了传染性疾病的交叉感染。