!-->

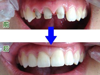
烤瓷牙,即烤瓷熔附金属全冠又称金属烤瓷联合冠。它是瓷粉经过高温烧结熔附于金属内冠表面而形成的全冠修复体。金属烤瓷冠目前临床使用多的全冠修复体,兼有铸造金属全冠机械强度好和全瓷冠美观的优点,是一种较理想的修复体。烤瓷牙的颜色相当齐全,能够根据患者本人的要求或周围牙的颜色进行比色和配色,做出来的牙齿色泽逼真、自然,不变形,坚固耐用,完全可以达到以假乱真的效果。

分析,烤瓷牙的价格主要受以下几个因素影响:
1、医院的水平
烤瓷牙在可以达到很好的修复效果的同时,还有很好的牙齿美容效果,就要选择正规专业的牙科医院,好的医院保证我们的人身和做烤瓷牙的显著效果。
2、烤瓷牙的材料
烤瓷牙种类越来越多,让人不知道怎么选择。不同的材料花费不同,导致了烤瓷牙价格也会有所不同。
3、医生的技能水平
烤瓷牙的价格除了和烤瓷牙的材料有关外,还和牙科的水平有关,这就要看你的口腔条件了。做烤瓷牙手术的时候,如果发现你牙床内多长一颗牙齿或者存在其他口腔问题,就会导致要多花费时间和为你安装烤瓷牙。》》》成人牙齿矫正会有效果吗?
提醒,我们做烤瓷牙的目的是为了修复缺失的牙齿,因此烤瓷牙的效果是重要的,而考虑到烤瓷牙效果自然选择要选择好的医院进行!

医院
广州越秀圣贝口腔门诊部口腔严格按卫生部及物价部门标准统一收费,公开透明的收费制度,让患者明明白白看病。另外,广州越秀圣贝口腔门诊部口腔还加强医德教育,开展“阳光从医”活动,所有的医务人员都应拒收红包、不接受病人吃请,只需部分检查的决不做全面检查、普通能的绝不用昂贵,大限度地减轻病人的经济负担。