!-->

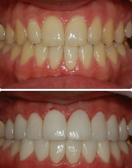
一口整齐洁白的牙是所有人都向往拥有的,洁白的牙齿不仅看上去更加的阳光和健康,而且可以增加一个人的美丽与自信。如今牙齿美白的方法五花八门,越来越多,以至于很多患者都不知道该如何选择适合自己的。口腔介绍,冷光牙齿美白是目前有效的一种方法,那么广州哪家医院做牙齿美白效果好?口腔---广州越秀圣贝口腔门诊部口腔,理由如下。

冷光牙齿美白是将波长介于480-520nanometer之间的高强度蓝光,经由光纤传导,通过两片30多层镀膜的特殊光学镜片,再经过特殊光学处理,隔除一切有害的紫外线和红外线,将过氧化氢和直径为20纳米的二氧化硅等为主体的美白剂,快速产生氧化还原作用。透过牙小管,去除牙齿表面及深层附着的色素,从而达到美白的效果。》》》种植牙过程是不是很痛?
这种美白方法的操作时间不用很长,仅需30分钟。低温冷光,完全避免了操作过程中对牙神经的刺激。美白剂的主要成分过氧化氢,使用在牙齿脱色上已有数十年之久。在亲水性物和完全不接触牙龈的美白过程中,对牙齿结构及珐琅质不会造成任何伤害。一次性、无刺激、的美白效果可持续两年以上。因此被是目前有效及的牙齿脱色美白。

牙齿美白 选广州越秀圣贝口腔门诊部
广州越秀圣贝口腔门诊部口腔拥有的、温馨的环境、合理的价格,满意的口碑、成功的治疗案例是你治疗口腔疾病的首要选择,同时医院致力打造“您专属的私人牙医”,这种企划理念彰显了医院专业、权威、、奢华的定位和品质,也体现了医院的综合实力。