!-->

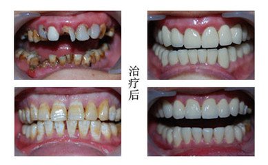
烤瓷牙,即烤瓷熔附金属全冠又称金属烤瓷联合冠。其是瓷粉经过高温烧结熔附于金属内冠表面而形成的全冠修复体。金属烤瓷冠目前临床使用多的全冠修复体,兼有铸造金属全冠机械强度好和全瓷冠美观的优点,是一种较理想的修复体。

烤瓷牙的优点:
1、烤瓷牙适用范围广:如个别牙不整齐,牙缝过宽、断牙、缺牙、四环素牙、牙釉质发育不全和畸形牙等可以进行烤瓷牙修复。
2、烤瓷牙具有良好的生物相容性:烤瓷牙生物相容性好,不刺激口腔组织,易清洁。特别是贵金属烤瓷牙和全瓷牙,因其具有的化学惰性而具有抗腐蚀性,组织无过敏。
3、烤瓷牙美观逼真:烤瓷牙的颜色可调制成真牙颜色一样,不变色,全瓷牙颜色更理想,折光性都跟真牙一致。烤瓷牙颜色齐全,能根据患者本人的要求或周围牙的颜色进行比色与配色,做出来的牙齿色泽真实和自然。
4、烤瓷牙保护牙体组织和牙髓:因为需做烤瓷牙的牙齿往往是变色龋坏多的牙齿,烤瓷冠制作完成后,整个真牙就被金色围在中间,咀嚼时的力量作用在牙冠上,不会折裂或崩掉,而粘结瓷牙冠的粘结剂及瓷层,有良好的绝缘性,防止了外界刺激对牙髓的伤害。
5、烤瓷牙具有极高的强度:金属与陶瓷粉在高温下熔融结合在一起后,足以承受口腔内的咀嚼力,贵金属与陶瓷牙结合力更强大,因而耐磨耐用。
6、烤瓷牙修复所需时间短:做烤瓷牙一般一个星期的时间即可完成,通常需要就诊两次,次做牙体预备,第二次安装烤瓷牙。》》》更换烤瓷牙需要多少钱?
广州越秀圣贝口腔门诊部口腔 你的较佳选择!
广州越秀圣贝口腔门诊部口腔为患者提供现代典雅舒适的环境,优质全流程的客服服务。邀请设计亲自操刀空间设计,整个门诊环境高雅舒适,以"航空式服务标准"要求和训练的接待团队,力求为每一位来店的顾客提供优质的服务。