!-->

错颌畸形是指儿童在生长发育过程中,由先天的遗传因素或后天的环境因素,如基因遗传、疾病、口腔不良习惯、牙齿替换不正常等原因,造成的牙齿、颔骨、颅面畸形。错颌畸形不但影响面貌的美观,而且会造成咀嚼和发音等功能欠佳,影响儿童的身心健康。

广州越秀圣贝口腔门诊部口腔介绍:错颌畸形对儿童有诸多危害,主要有以下方面:
1.影响容貌和心理健康
俗话说,爱美之心人皆有之。牙齿排列不齐、拥挤错位会令宝贝无法拥有自信的微笑;而颌骨的发育畸形,如“地包天”、“龅牙”等,也会让宝贝的外貌受到影响,久而久之会导致自卑等严重的心理障碍,在日后的人际交往过程中产生障碍。
2.影响口腔健康
刷牙对拥挤错位的牙齿无能为力,食物残渣容易滞留,久而久之会使宝贝染上许多口腔疾病,如:龋坏(虫牙)、牙石(牙垢)、牙龈炎(牙龈出血),严重的可发展为牙周病,引起牙齿松动,甚至脱落。
3.影响口腔功能
错颌会对孩子的下颌运动有影响,使下颌骨的运动关节-颞下颌关节运动异常,引起疼痛,并使面部肌肉容易疲劳;反牙合、锁牙合等上下牙列对咬时接触面积比正常牙列少,使咀嚼效率大大降低;前牙开颌、深覆盖会影响宝贝的发音功能,使某些发音不准确。4.影响口腔及颜面部发育
4.影响面部形态
在儿童生长发育期间,错颌畸形如不能及早矫治,将会影响口腔及颜面部软、硬组织的发育,引起面部的明显畸形。
5.影响全身健康
咀嚼功能的降低会加重胃肠的负担,时间长了会引起消化不良或胃肠疾病;更有甚者,口腔内的细菌在身体免疫力低下时会诱发心肌炎、肾炎等系统性疾病。

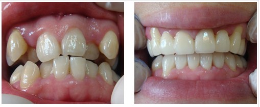
儿童牙齿矫正方法——无托槽隐形正畸
无托槽隐形正畸是采用高分子材料所制成的透明矫治器,一改传统正畸过程中“钢丝铁牙”的局面,能在无钢丝、无托槽的状态下完成矫治,让别人看不到您带了牙套矫正的同时,不影响美观,可自行摘带,在不知不觉中恢复正常颌面形态。无托槽隐形正畸是现代计算机辅助设计、快速成形和新材料完美结合的产物,满足了人们既矫治牙齿又不影响美观的需求。
广州越秀圣贝口腔门诊部口腔的自锁托槽牙齿矫术是以崭新的3D立体电脑,量身定制一系列近乎无法察觉的透明牙托来完成整个矫正疗程。不管是由于牙齿拥挤、有间隙,或者是传统治疗后又移位的牙齿,都可以重新获得灿烂笑容。》》》关于瓷贴面你知道多少?
温馨提示:家长及早抽空带孩子上医院做口腔检查,还可及早发现问题并及时治疗。因为早期采取一些简单治疗,可用很短时间阻断畸形的发生和发展,取得事半功倍的效果。否则,错过治疗的较佳时间,则有可能要通过手术治疗,代价会更高,效果也会打折。

广州越秀圣贝口腔门诊部口腔 值得您信赖!
广州越秀圣贝口腔门诊部口腔是一家连锁口腔专业机构,具有连锁水准的大型现代化口腔治疗专科,集预防、保健、治疗、美容、修复为一体,组建了由多位博士生导师和国内外知名构成的专业口腔队伍,为广大群众口腔健康保驾护航。