!-->

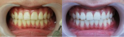
80%的人认为,看一个陌生人是否有魔力,其决定因素不是眼睛,也不是头发,而是牙齿。牙齿是否美白直接影响了人的整体气质,现如今,牙齿的美白方法越来越多,新型的美白方法逐渐替代了传统美白,一种新型的美白方法正在受人们热捧,即冷光美白!那么冷光牙齿美白效果到底怎么样呢?

圣贝牙科称,冷光美白的原理在于通过冷光将物渗透到牙齿组织中去, 从而达到美白的效果。属于化学漂白的一种, 对于牙齿釉质的伤害极大,容易令牙本质失去必要保护而出现冷热过敏的痛苦。外源性色素粘染,内源性色素沉着等比较适合使用冷光美白。
冷光美白与传统美白比的优势:
1.特殊光学处理,干净无菌:波长介于480-520纳米之间的高强度蓝光,经由光纤传导,通过两片30多层镀膜的特殊光学镜片,再经过特殊光学处理,隔除一切有害的紫外线和红外线,有效确保口腔干净无菌。
2.无刺激、无疼痛:冷光美白牙的治疗过程中不会产生热量,所使用的亲水性美白剂有脱敏成份,所以整个过程无刺激性和无疼痛感.
3、有效,轻松舒适:由于采用的是低温冷光,不产生热效应,完全避免了操作过程中牙神经的不适,不会伤害任何口腔组织,在轻松舒适的过程中,牙齿悄然洁白光亮。
4、深层脱色,美白:冷光美白不仅可以去除牙齿表面的色素沉积,同时可进入牙齿深层达到脱色的效果.一次疗程,治疗后能将牙齿表面提高5-14个VITA色阶,效果至少可维持两年以上.
5.不伤害牙齿和牙龈:冷光是一种低温冷激光,操作过程中完全避免了对牙齿神经的刺激.美白剂的主要成分是氧化氢,是一种亲水性物,完全不伤害牙龈,对牙齿的结构和牙釉质也不会有任何伤害.这种美白剂在临床使用上已达十年之久,对于牙齿脱色有着出类拔萃的效果.》》》氟斑牙美白贵不贵?
6.一次照射,长期有效:在牙齿全面涂抹高效、的美白剂之后,全口牙齿一次照射即可,三十分钟以后牙齿可以提高三至八个色阶,比传统方法更快,效果,美白效果保持可达三年以上
温馨提示:冷光美白后24小时内,牙齿很容易再染上有色物质,必须避免饮用茶、咖啡、可乐、红酒、莓果类饮料、有色牙膏、漱口水等及食用深色食物,同时要避免吸烟。

广州越秀圣贝口腔门诊部 值得信赖!
广州越秀圣贝口腔门诊部连锁牙科医院现在凭借着,“高科技、高水平的医疗质量,医术与艺术相结合、医患沟通零距离是圣贝客服的终目标;优雅舒适的环境,无菌、就诊的服务是连锁医疗质量标准的基础。”圣贝牙科创新性地在国内实行“8个一”无菌感控制模式:一人一室、一椅一治疗、一医一助、一机一消毒,有效避免了传染性疾病的交叉感染,患者可放心看牙!