!-->

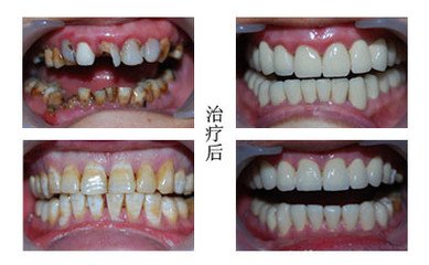
说到烤瓷牙,相信大家早就耳熟能详,很多人以为烤瓷牙仅仅只能修复牙齿缺失问题,其实不然,烤瓷牙作为目前牙齿修复的理想的方式,它不单是能够完美的修复缺失牙齿还能修复更多的口腔问题,下面我们就一起看看那到底哪些人适合做烤瓷牙呢?

表示,烤瓷牙能修复缺失牙齿是大众都知晓的,下面我们就不再介绍,下面就一起看看它的其它适应症有哪些:
1.烤瓷牙可以美白牙齿:喜欢美白牙齿的患者可能就知道了,烤瓷牙也是美白牙齿的方法之一,并且,还占着举足轻重的地位。因为,在对于治疗一些较为严重的着色牙齿的情况下,比如:四环素牙、氟斑牙等。都只能采用烤瓷牙进行美白牙齿了。它通过对色素牙的表面进行适当磨除,然后套上烤瓷牙冠。这样。不仅美白速度较快,而且效果也较好,并且,还能够起到保护患者不再受色素和细菌附着的影响。
2.烤瓷牙能修复口腔疾病:龋齿是一种常见的复发性疾病,对于它的治疗,烤瓷牙,可谓功不可没,很多情况下,治疗龋齿的主要方法就是利用根管治疗,将龋坏的牙髓等组织抽出,然后用填充物进行根管的填充,这样,不仅可以的清除龋病菌,而且,又能恢复牙齿的形态和功能。但是,对于根管治疗后的牙齿是相对来说,比较脆弱的,所以,要通过用烤瓷牙冠来进行固定。还有什么牙髓炎的治疗等等,都会用到烤瓷牙进行修复。
3.烤瓷牙还能矫正牙齿:在很多情况下,患者可能由于牙齿畸形或外力碰撞,导致的一些牙齿不整齐、松动,甚至脱落的现象。这些症状出现时,都可以通过用烤瓷牙来进行修复。它通过磨除真牙的部分组织,然后将“量身而做”的烤瓷牙冠戴在需要矫正的患牙上。这样,不仅保留了患牙,而且,从外观上也使得牙齿更加的漂亮了。》》》瓷贴面牙齿美白效果好吗?
广州哪家医院做烤瓷牙好?
广州越秀圣贝口腔门诊部口腔引进一系列的数字化前沿口腔医疗设备,构成了圣贝牙科庞大的数字化家族,让人们放心看牙,而且这里所聘均为专科,在其所研究的领域有一定造诣。而且所有材料均为国外进口,新加坡统一配货,经过层层把关进入圣贝,烤瓷牙质量更有保障。