!-->

一口洁白整齐的牙齿是每个人都羡慕不已想要拥有的,美白的牙齿不仅可以给人带来自信,还能提升一个人的魅力,拉近人与人之间的距离,但生活中不少人都会因为不良的生活习惯而造成牙黄牙黑,面对牙齿发黄我们应该怎么办,很多人选择了瓷贴面来美白牙齿,今天我们就来说一说瓷贴面美白牙齿怎么样,费用多少钱呢?

介绍,瓷贴面瓷贴面可以说是贴面家族里的贵族,制作过程比较复杂,、材料要求很高,仿真度高,美观效果好,材质稳定耐久。
瓷贴面美白牙齿要多少钱?
1、与患者修复的数量有关:每个人的牙齿情况都不一样,一些人可能只需要修复一颗牙齿就可以,一些人需要修复全口的牙齿,修复的数量不同,当然价格也是不一样的了,如果修复的数量比较少的话,当然价格也比较低了。
2、与患者选择瓷贴面的材料有关:瓷贴面的材料可以分为:氧化铝全瓷牙、二氧化锆全瓷牙、铸瓷牙,等等,不同的瓷贴面材料当然价格也是不一样的。
3、与患者选择的医院有关:目前广州可以做瓷贴面的医院有很多家,不同的医院当然设备不一样,的水平也不一样,所以价格也就不一样了。》》》氟斑牙美白贵不贵?
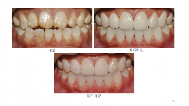
牙齿美白,广州越秀圣贝口腔门诊部
广州越秀圣贝口腔门诊部引进的亲贝多层色全瓷块是在高温密闭炉内,经过1400 度的真空加压烧结,然后经过 14天的缓慢降温而成。内部结构均衡、致密,便于加工,是较佳的一体化预制瓷块。通过由Cerec 5D对一体化预制瓷块进行加工制作的亲贝微贴面,厚度仅为0.3mm,不仅坚固、长久、稳定,而且不易着色,从此远离茶渍、烟渍的困扰。
广州越秀圣贝口腔门诊部口腔是一家连锁口腔专业机构,具有连锁水准的大型现代化口腔治疗专科,集预防、保健、治疗、美容、修复为一体,组建了由多位博士生导师和国内外知名构成的专业口腔队伍,为广大群众口腔健康保驾护航。因为圣贝牙科始于圣手仁心,至今已有近百年历史。在近百年的发展历程中,圣贝牙科早已是圣知名的品牌牙科医院。