!-->

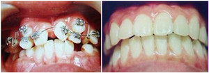
龅牙治疗要多少钱?龅牙一直是亚洲人牙齿畸形的通病。龅牙对我们的影响很多,因此及时治疗龅牙不仅有利于我们的形象美观也有利于我们的健康问题。那么,到底龅牙治疗要多少钱呢?

广州越秀圣贝口腔门诊部表示龅牙治疗要多少钱并没有一个确定的数字,因为它会受到以下多方面的影响:
1、受使用的矫正方法影响。目前的牙齿矫正方法有多种,材料也多种,如果用不锈钢的牙齿矫正器,那么矫正牙齿的价格就比较便宜了。如果对美观性要求较高的,可以选用陶瓷牙齿矫正器,那样的正畸价格,起码要番一倍的价格。而如果采用新的美容冠矫正,价格更高。
2、受龅牙选择的就诊医院的影响。规模不同的医院,所拥有的设备和牙齿矫正不同,矫正的效果就相差很远,价格自然也是不同的,大型的机构收费比较统一、合理。
3、受龅牙所选的影响。每个的等级、专业度等不同,做出来的效果也会有区别,而做手术的价格也会不同,那么龅牙矫正的费用也会不同。
4、受龅牙地区的影响。不同地区消费水平不同,做龅牙矫正的费用肯定也是不同的,经济比较发达的地方,做龅牙矫正价格就会高一些,而有些地区做龅牙矫正的价格,就普遍比较便宜。》》》龅牙有哪些危害?
好的龅牙治疗:四维亲贝美牙系统
圣贝牙科连锁医疗机构是世界上早引人CAD/CAM椅旁即刻修复美容系统的先行者,拥有20余年的使用经验,其独有的二氧化皓不但能胜任前牙的高标准美容需求,也能达到后牙咀嚼磨压所必须的高强度,实现了立等可戴,更可以制作成精密附着体。整个义齿修复从诊断、备牙,到制作、戴牙在同一个区域内进行,将整个修复过程从耗时一周缩短到1小时。
新引入的四维亲贝美牙系统在齿科"动车组"的基础上进行再提速,扩大了治疗范围,不仅适用于单冠,也可制作长桥,由此生成的四维断层扫描为制作精密的贴面、嵌体、高嵌体、单冠及连桥提供理想的基础及现实的选择。
提醒,做龅牙治疗不能一味的追求价格低廉,龅牙治果才是重要的,为此我们在选择医院的时候不能只看价格,一定要看医院是否正规!

牙齿矫正 广州越秀圣贝口腔门诊部!
广州越秀圣贝口腔门诊部口腔是品牌连锁机构,始于圣手仁心,其主品牌圣贝牙科经法兰西萌牙、普鲁士生根、化浪潮,成为的知名牙科连锁。圣贝连锁牙科连锁医疗机构强势整合国内外牙科资源,拥有“五大核心”,在行业内率先将灭菌消毒提升至16层,成为连锁牙科医疗标准在中国的首航者。