!-->

成人牙齿矫正需要注意什么?在现实生活中,许多成年人存在着牙列不齐的问题而没有及时做牙齿矫正,成人由于其生长的特殊性,做牙齿矫正的时候不同于儿童矫正,需要注意的问题比较多。下面就一起听听怎么说?

表示,成年人在进行牙齿矫正的时候,应要听从的嘱咐并且应配合进行治疗,这对矫正后的治疗有很好的效果。 并且牙齿矫正后的护理也十分重要,它直接影响了牙齿矫正恢复效果的好坏!
成人牙齿矫正需要注意什么?
1、预防口腔的卫生:成人在进行矫正后也是需要有刷牙、洗牙的好习惯,因为在进行矫正的时候,会有效到口腔内的免疫力,如果口腔内的卫生没做好,就会造成牙周炎,而牙周炎是所有口腔疾病的发病源,所以我们应该更好的预防我们的口腔卫生。
2、定期到医院复诊:成年人的牙骨一般的坚固,矫正后是有可能出现反弹的现象的,所以矫正的患者要定期到医院进行检查,通常需要每个月到医院进行一次复诊。从而进行调整治疗。
3、不要咀嚼太硬的食物:对于进行矫正的患者,不应咀嚼太硬以及是太粘的食物,并且,在咀嚼的时候尽量选切实食物后在吃,避免使用矫正牙来吃东西。》》》氟斑牙美白贵不贵?
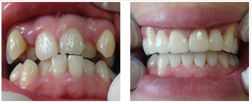
广州哪家医院做牙齿矫正比较好?
广州越秀圣贝口腔门诊部口腔引进美颜正畸系统 ,采用内窥镜检查,全景片检查通过计算机进行三维快速成像,确定牙齿分布状况,再根据力学原理和靶向定位着力点,植入新的与牙齿相容的仿生材料,用聚能的力量将畸形牙移动,后平移成成正常的排列状态,通过3至6个月在无形中达到矫治效果。
圣贝连锁牙科正畸研究中心美颜正畸,在不磨牙不戴冠的情况下,将韩国微整形美容(颌面外科手术)与数控隐形矫正(牙齿矫 正)相结合,在实现健康矫正的同时,利用矫正牙齿过程中的骨移动原理,重新改造面部形态的骨骼群,终实现面部“整形”。