!-->

爱美是人的天性,俗话说得好“爱美之心人皆有之”,一口整齐洁白的牙齿不仅能给人带来好的印象,还能瞬间提高我们的自信心,拥有一种与众不同的气质,那么在广州哪家医院牙齿美白效果好呢?

表示,对于牙齿颜色变色问题,患者都会觉得很烦恼,生活中也会经常受到影响,尤其在社交方面。牙齿美白是一种比较受人们欢迎的牙齿美容方式,但目前牙齿美白多种多样,患者经常会不知如何选择。牙齿美白哪种方法效果好?
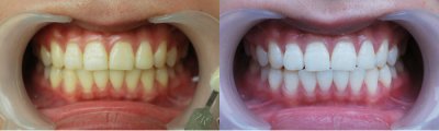
广州美白牙齿 ——广州越秀圣贝口腔门诊部炫彩美白!
炫彩美白是广州越秀圣贝口腔门诊部新引进的连锁先进牙美白。其特点是能摒除一切有害的紫外线与红外线,其美白配方中含有专利激活剂,配合新一代口腔健康美白理念,以阶段性治疗和先进的治疗仪器,一经问世,就受到欧美牙医的推崇和使用。通过个性化的阶段性有效治疗,美白效果提高3倍,对周围组织无任何副作用。更为温和舒适,深透、健白、零敏感,舒适度相对更高。

炫彩美白优势:
1、无损:无损牙齿牙龈。炫彩美白前的洗牙、压面抛光和护龈已经为牙齿牙龈做好了防御工作,不但不会对其造成损伤,还有清洁保护作用,延长牙齿使用寿命。
2、快捷:30分钟至45分钟完成。炫彩美白全过程仅需30分钟至45分钟完成,方便快捷,不影响正常工作生活。
3、无痛:无刺激疼痛感。炫彩美白过程不会产生热量,所使用的亲水性材料有脱敏成分,所以无刺激性和疼痛感,让您在轻松舒适的过程中完成牙齿健康与美白的蜕变。
4、长效:护理得当有效可达数年以上。炫彩美白一般情况下护理得当可维持数年的美白效果,不会造成任何的交叉感染、后遗症。

广州越秀圣贝口腔门诊部 值得您选择!
广州越秀圣贝口腔门诊部口腔团队对牙齿美白都积累丰富的临床经验,借患者之间的口碑相传,声名远播,全国患者纷纷前来就诊。此外,圣贝连锁牙科连锁医疗机构全面践行连锁医疗无菌操作理念,在行业内率先实现"一人一诊室一治疗室一医一助一机一用一消毒"8个一无菌诊疗模式,有效地杜绝了肺结核、肝炎、等各种传染性疾病的交叉感染,让患者放心看牙,会是您的较佳选择。