!-->

目前,针对成人牙齿矫正的已经相当成熟,成人正畸已经告别了铁齿铜牙的尴尬方式,从而替之的是无形舒适的便捷矫正方法。那么现在成人牙齿矫正需要多少钱呢?下面就一起听听怎么说?

表示,牙齿矫正以往人们一直以为牙齿矫只是青少年的专利,其实不然,因为人的牙槽骨一生都处于变化之中,因此任何年龄段的人进行正畸都没有限制,成人压出矫正的价格一直受到争议时因为受到很多方面影响:
1、患者自身情况。这一点限定了牙齿矫正治疗的难度和疗程。不难理解,成人牙齿矫正费用与难度和疗程是呈正相关的。
2、矫正方法和矫正器。牙齿矫正会根据患者的错颌情况选择合理的牙齿矫正方法,不同的牙齿矫正方法费用不同,含量高的牙齿矫正费用也高;然后再结合患者的经济情况为其选择合适费用的矫治器,如国产矫治器物美价廉,进口矫治器虽贵却高效。
3、因地而异。在不同地区会有城乡差异,在不同级别的医院会有收费标准的级别差异;在不同性质的医院中,赢利性医院的收费标准会略有浮动等等。患者应在正畸治疗开始前向主管了解总体费用的大致情况,有备而治。
4、选择医院的不同。一个专业的牙齿整形美容机构,在硬件投入和软件建设上是一般重视的,医院的、质量、信誉、服务也不尽相同,对顾客的承诺也不一样。所以价格也会存在差别。》》》广州成人牙齿矫正哪家医院好?
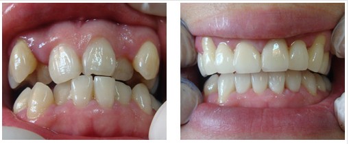
成人正畸——美颜正畸系统
广州越秀圣贝口腔门诊部采用的美颜正畸系统,采用内窥镜、全景片检查并通过计算机进行三维快速成像,确定牙齿分布状况,再根据力学原理和靶向定位着力点,植入新仿生材料,用聚能的力量将畸形牙移动,后平移成正常的排列状态,并在3至6个月中实现矫治效果。
圣贝牙科,您的放心选择!
广州越秀圣贝口腔门诊部口腔拥有的、温馨的环境、合理的价格,满意的口碑、成功的治疗案例是你治疗口腔疾病的首要选择,同时医院致力打造“您专属的私人牙医”,这种企划理念彰显了医院专业、权威、、奢华的定位和品质,也体现了医院的综合实力。