!-->

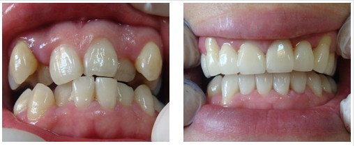
“虎牙”是一种常见的畸形牙,也叫犬齿,就是指上颌的两颗单尖牙,在十二三岁时向外毗出,很像老虎口角的牙齿,故称“虎牙”。很多青少年都会认为虎牙很有个性,认为是魅力的化身,其实不然,严重的虎牙不仅会让口腔受到感染,还会影响自身的外在影响,那么虎牙要怎么矫正呢?

介绍虎牙的形成常常是由于乳牙早失,邻近恒牙萌出向空隙处移动,挤占了尖牙的位置,当尖牙萌出时没有足够的空间,迫使其萌出在唇侧的高位上,从而突出于牙弓的外面。
虎牙要怎么矫正?
1.儿童虎牙矫正方法。如果是儿童长了“虎牙”,一般可去医院的正畸科或儿童牙科进行矫正治疗,对于刚刚萌生出的“虎牙”,早期治疗相对简单,可佩戴活动矫治器,也就是可以自己摘戴的类似于活动假牙的矫治器。另外还可自己用拇指向后、下、内方向按压“虎牙”,以感觉酸胀为度,可辅助“虎牙”尽快回到队列中。
2.成人虎牙矫正方法。若是成人虎牙,则可以通过5D美容冠解决!一切对牙齿形态和色泽不满意:牙齿排列不齐、牙齿稀疏、牙齿排列拥挤、虎牙、重度四环素牙、氟斑牙、暴牙、个小牙、牙齿颜色难看、早期烤瓷牙修复色泽形态不美观以及其它想要牙齿更完美的人群都可通过5D美容冠达到理想效果! 》》》广州隐形牙齿矫正哪家医院好?
——5D美容冠
广州越秀圣贝口腔门诊部口腔引进5D美容冠,由专业牙医度身定制美牙方案,成形后的牙齿美观大方,无托、无卡环,同真牙一样不易分辨。它颠覆了传统美牙方法矫治周期长、终效果差的弊端,只要短短一个小时就能实现求美者牙齿的焕然新生,让一口难看的“破牙”摇身变身一口洁白整齐的牙齿。该打破了过去拔牙、磨牙、取模、刻腊、烧瓷等传统程序,运用计算机辅助设计和制作,一次性完成备牙、光学取模、设计、研磨、试戴、安装等全部程序。

广州越秀圣贝口腔门诊部 值得您选择!
圣贝连锁牙科是一家大型连锁医疗机构,拥有医疗行业专业的、舒适的环境、优质的服务、先进的设备,圣贝全面践行连锁医疗无菌操作理念,在行业内率先实现"一人一诊室一治疗室一医一助一机一用一消毒"8个一无菌诊疗模式,有效地杜绝了肺结核、肝炎、等各种传染性疾病的交叉感染,让患者放心看牙!