!-->

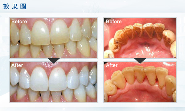
所谓烟渍,就是经常吸烟的人在牙齿上留下的一种牙渍;它的形成是由于人的口腔环境是酸性,长期与口腔内的食物残渣等碱性残留物发生化学反应后,附着在牙表面上的非完全反应衍生物,实际上也是一种盐化合物,尤其是烟里含有一种“咖啡碱”,在酸性口腔中反应很容易形成牙渍,每天都抽烟的人,积累下来,烟渍就很严重,沉积在牙齿表面或者根部,就成了烟渍牙。那么,烟渍牙如何才可以变白呢?

1、洗牙:抽烟人士的牙齿上大多存在着不少的牙结石,洗牙能够有效去除牙齿表面的牙结石以及各种附着物,还原牙齿的本来面部,有效预防口腔疾病。但是洗牙的缺点是效果不持久。
2、冷光美白:冷光美白是目前牙齿美白效果一般理想的一种美白方式,能够有效去除牙齿表面的各种附着色,采用亲水性物,不会给牙齿造成损伤,而且效果持久。
3、美容冠:美容冠的适应范围广,对于各种四环素牙、氟斑牙、畸形牙、变色牙及牙齿缺损、缺失问题等,都能够通过美容冠进行修复,恢复整齐洁白的牙齿。现在你知道了吗?吸烟是有害健康滴,但一直以来却很少人戒烟成功,也没见卖烟的地方少了,不少人是因为朋友还在吸烟,经不起诱惑而戒烟不成功。》》》补牙用什么材料好?
温馨提示:抽烟会导致牙齿表面上存在一些污垢和细菌,通过刷牙等方法并不能有效去除常年沉积在牙齿表面上黏性物质、牙结石等。戒烟对于许多人来说很难,好采用专业的美白方法。

广州越秀圣贝口腔门诊部 值得您信赖!
广州越秀圣贝口腔门诊部口腔团队对牙齿美白都积累丰富的临床经验,借患者之间的口碑相传,声名远播,全国患者纷纷前来就诊,是您的较佳选择。圣贝全面践行连锁医疗无菌操作理念,在行业内率先实现"一人一诊室一治疗室一医一助一机一用一消毒"8个一无菌诊疗模式,有效地杜绝了肺结核、肝炎、等各种传染性疾病的交叉感染,让患者放心看牙!
上一篇:补牙用什么材料好?选择哪种材料结实便宜
下一篇:没有了