!-->

生活中有很多人因为不良的生活习惯而产生蛀牙,蛀牙不仅会让人疼痛难忍,所伴随的口腔异味也会让人感到尴尬,治疗蛀牙,口腔表示,补牙是好的选择,那么补牙贵不贵,补一颗牙多少钱呢?

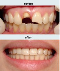
表示,补牙是相对于牙齿缺损而言的,一般造成牙齿缺损的情况是蛀牙,因为蛀牙在没有得到及时治疗的情况下,会导致牙齿的坏死和脱落。蛀牙也就是牙齿出现腐烂现象。补牙是处理蛀牙有效的方法。
补牙的费用是多少?影响补牙费用的因素如下:
1、不同牙科机构之间的是不一样的,正规、专业的牙科按标准进行收费,更规范,而小诊所由于设备、、消毒等方面的不到位,极易引发一系列口腔问题的发生。好的医院虽然会贵一点但对您的牙齿健康才会有更好的保障!
2、患者牙齿龋病的程度、部位及病变的程度不一,造成了补牙难易的程度不同,从而在极大程度上造成了补牙费用的不同。
3、患者对补牙材料的选择及是否进行牙冠的修复,不同的补牙材料其性能有着一定的区别,而是否进行牙冠的修复,则在很大程度上影响着补牙费用,一般来说如果龋洞较大,为防止补牙材料的脱落,牙科医师一般会建议进行牙冠的修复,费用自然也会高一点。》》》广州矫正龅牙多少钱?
补牙——广州越秀圣贝口腔门诊部口腔
广州越秀圣贝口腔门诊部口腔采用新的3M纳米树脂补牙材料,结合治疗系统,让患者就诊过程无恐惧。颠覆患者对看牙的传统认知,全程治疗系统的引进,让顾客放心就诊。从"表麻处理"到"笑气麻醉",不同规格和作用的治疗手段保证顾客的看牙体验。
温馨提示: 广州越秀圣贝口腔门诊部口腔的团队对治疗蛀牙积累丰富的临床经验,借患者之间的口碑相传,声名远播,全国患者纷纷前来就诊。
同时,圣贝连锁牙科连锁医疗机构全面践行连锁医疗无菌操作理念,在行业内率先实现"一人一诊室一治疗室一医一助一机一用一消毒"8个一无菌诊疗模式,有效地杜绝了肺结核、肝炎、等各种传染性疾病的交叉感染。