!-->

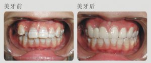
牙齿前突,即牙列不齐, 牙间隙过大, 牙排列拥挤,“暴牙”或“哨牙”(上颌前牙向前突出 ),“地包天”或“反颌”(下颌前牙向前突出于上颌前牙) 等牙颌面畸形不仅影响牙颌面容貌,妨碍说话,如说话漏气变音,还会引起咬颌无力,咀嚼不便,导致消化吸收不良。此外,牙齿排列不齐,还容易藏污纳垢,久而久之可并发口气臭、牙龈炎、牙龈萎缩、牙周炎及粘膜疾病等。有少数患者因畸形的容貌,长期背负沉重的心理压力和精神包袱, 可导致性格行为及心理状态的改变,如自卑,害羞,内向,不善交往等。那么,门牙前突该怎么办呢?

如何解决牙齿前突问题呢?如果是单纯牙性前突而上下颌骨比例基本正常,则通过牙齿正畸即可解决。如果是骨性前突,则单纯通过牙齿正畸就不能完全解决问题。传统的正畸只能改变牙列不齐的问题,如果用于骨性牙齿前突的问题,会有反弹的现象。美颜正畸,轻松矫正牙齿,不会影响美观。
一般牙齿前突有牙性的和骨性的,不同原因的牙齿前突治疗方法也不相同。一下分为两种情况:
1、如果是单纯牙性前突而上下颌骨比例基本正常,则通过牙齿正畸即可解决。如果是骨性前突,则单纯通过牙齿正畸就不能完全解决问题。
2、传统的正畸只能改变牙列不齐的问题,如果用于骨性牙齿前突的问题,会有反弹的现象。MBT直丝弓快速矫正,有像牙齿一样精美的牙套,不会影响美观,并且治疗时间一般短,是传统正畸时间的三分之一,受到广大牙齿患者的喜爱。》》》儿童可以采用隐形矫正吗?
很多人认为,成年在18岁以上就不能再做前突牙齿矫正了。但口腔介绍,这种说法实际上是一种误区。为什么这么说呢?原因在于人的牙槽骨一生都处于变化之中,因此任何年龄段的人进行正畸都没有限制。
此外,还有一些人认为,成人做完牙齿正畸后会使牙齿松弛、脱落,认为这种观点也有一定的片面性。如果是正规医院的专业医师,在进行矫治前都会同患者进行深度沟通,采用合理的矫治方案,不但不会造成牙齿脱落,反而会延迟牙齿的脱落。原因在于通过矫正可以使牙齿的排列和咬合更为合理,一些牙周疾病也可以得到较好的预防和控制,从而更有利于牙齿的保健。

指出对于牙齿前突的现象,现在可以通过正畸和牙齿美学修复的方法做专业的调整,从而达到美学的和谐。建议选择正规医院进行治疗,以保证治疗的效果以及身体的健康。
广州越秀圣贝口腔门诊部口腔是一家连锁口腔专业机构,具有连锁水准的大型现代化口腔治疗专科,集预防、保健、治疗、美容、修复为一体,组建了由多位博士生导师和国内外知名构成的专业口腔队伍,不断引进连锁潮流领先的和设备,构建单病种特色,凝聚国内外牙科,用科技造福患者,以特色服务大众。专业主导五大系统在业内的标准制定和发展、五星级服务全面无缝植入牙科会所。拥有独特领先的医疗,前沿的专业设备,全面践行连锁医疗无菌操作理念,在行业内率先实现“一人一诊室一治疗室一医一助一机一用一消毒”8个一无菌诊疗模式,为广大群众口腔健康保驾护航。