!-->

现实生活中,我们经常可以看到牙齿缺失的人,尤其中老年人较多,很多人的口腔健康意识不够高,像牙痛、掉牙都不在意,总觉得只要其他牙齿健康完好,不影响正常饮食生活就可以,却不知道如果牙齿缺失时间太久,会直到影响到剩余邻牙的健康,甚至整个口腔健康,这时再去医院检查治疗可能会对后期的治疗带来很多困难,比如做种植牙。那么,长时间的牙齿缺失后还能做种植牙吗?

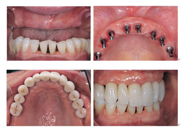
圣贝牙科称长时间的牙齿缺失会引起牙槽骨萎缩,为了能将种植体种入口腔,必须让牙槽骨的骨量增加。圣贝牙科医院采用的亲骨种植,是提取牙齿缺失患者自身的牙体骨骼来定制人造骨,保持极高的生物活性,避免了与空气接触后的活性丧失,骨粉在血液循环的作用下与牙槽骨迅速、牢固地结合,达到极佳的口腔相容性。
亲骨种植牙是根据亚洲人骨骼条件、身体结构进行种植,其优势就是其亲骨性和即刻性,是当前适合亚洲人骨骼特质的种植系统,总结了即刻种植术的众多优势,以出血少、无肿痛、手术快、等特点独树一帜,可以把种植牙的优势发挥到。
亲骨种植的优势:
1、CT定位:口腔三维CT精准定位、个性设计、可靠、确保无误。
2、生物相容:亲骨种植与自身牙体骨骼生物相容性极佳,100%。
3、无损:专利,几苦,将创伤降低到近乎于0,不影响患者正常生活。
4、舒适美观:种植后和真牙一样舒适,没有异物感,颜色晶莹剔透,自然美观。
5、稳定牢固:牙齿种植后牙体和骨骼相容,稳固,绝无脱落、松动后顾之忧。》》》牙龈发黑是怎么回事?
温馨提示: 亲骨种植综合了现代口腔学、生物工程学、生物力学、材料工程学的实践经验,一举攻克了种植牙“禁忌症”的边界,种植后的牙齿如同自然生长的、根深蒂固的真牙,成为欧洲连锁医疗机构认证的行业典范另外选择一家专业的牙科医院虽然价格会高一点,但无论是从您牙齿的健康还是美观效果来看都会有更高更好的保障!
广州越秀圣贝口腔门诊部口腔是一家连锁口腔专业机构,具有连锁水准的大型现代化口腔治疗专科,拥有多位国内外知名团队,同时配备的医疗设备、齐全的医护设备、先进的治疗,实现健康与美丽的需求,集预防、保健、治疗、美容、修复为一体,为广大群众口腔健康保驾护航,是广大患者朋友值得信赖的口腔医院。