!-->

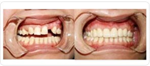
种植牙作为牙齿缺损修复的好方式,以其与天然牙功能、结构以及美观效果十分相似的修复效果,已经成为越来越多缺牙患者的修复方式。不过很多年轻朋友在注重修复效果的同时,也考虑到了美观性。此时,美学种植就为这类患者提供了很好的解决方案。

圣贝牙科称对于牙槽骨吸收、缺损导致前牙牙龈萎缩、牙槽骨厚度或高度降低的患者,通过引导骨再生、粘膜移植等,个性化牙龈成型,达到较佳的牙龈形态,充分展示红白美学效果,即美学种植。
要实现美学种植牙需从几方面考虑:
1、种植位点。也就是种植体的位置。
2、患者的条件。也就是患者有较好的解剖条件。
3、地取模和必要的软组织成型。
生活中很多患者朋友,做完种植牙之后,常常抱怨种植牙不够美观漂亮,然而对于美学种植,对种植也是一个挑战。因为想要达到好的美学效果,对种植的和医院的设备都有较高的要求。
温馨提示:选择专业正规的牙科医院,有助于美学种植的提高。》》》种植牙好还是镶牙好?
广州越秀圣贝口腔门诊部口腔是一家连锁口腔专业机构,具有连锁水准的大型现代化口腔治疗专科,集预防、保健、治疗、美容、修复为一体,组建了由多位博士生导师和国内外知名构成的专业口腔队伍,为广大群众口腔健康保驾护航。
广州越秀圣贝口腔门诊部口腔引进一系列的数字化前沿口腔医疗设备,构成了圣贝牙科庞大的数字化家族,让人们放心看牙,而且这里所聘均为专科,在其所研究的领域有一定造诣。而且所有材料均为国外进口,新加坡统一配货,经过层层把关进入圣贝,种牙质量更有保障。